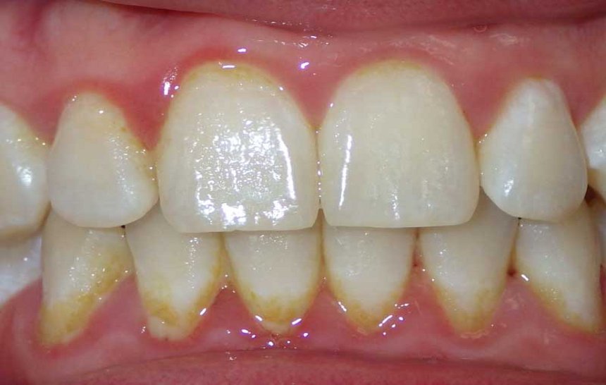
la enfermedad periodontal puede estar afectando tus encias.....
La enfermedad periodontal puede estar afectando tu encias y no te has dado cuenta, muchas veces es una enfermedad silenciosa que afecta todo el soporte que rodea el diente encia, ligamento periodontal y hueso
¿porque se produce?
por el acumulo de placa bacteriana después de la ingesta de alimentos por eso es tan importante el cepillado después de las comidas
ustedes de preguntaran pero hay personas que ni se cepillan y otras que están mas pendiente del cepillado y las que no se cepillan no sufren de esto, pues si hay personas que tienen predisposición a sufrir de esta enfermedad así como también el cigarrillo y enfermedades sistemicas que la agravan
por eso lo ideal es visitar al dentista cada 6 meses a un año , la importancia de una buena técnica de cepillado, el uso de seda dental y enjuague bucales; y recalco mucho una buena técnica de cepillado ya que hay muchas personas que dicen que se cepillan muchas veces al día pero a veces no es la técnica correcta y aquí quiero detenerme un poco y explicar que entre la encía y el diente hay un bolsillo que casi nadie se detiene a cepillarlo, es como el espacio que hay entre el dedo y la uña , bueno ese espacio hay que limpiarlo con el cepillo , meter las cerdas entre ese espacio y masajerlo


