BREESTFEEDING IS THE MAIN BASIS OF BABY'S HEALTH: FACTS AND INVESTIGATIONS
Breast milk is a product that nature has created over millions of years of evolution and that is perfect for the baby. Scientists around the world are fighting the secret of this magical drink, and the results of the research, at times, are staggering and startling.
It turns out that mother's milk, obtained in infancy, will protect human health for many, many years! Researchers studied the factors associated with various diseases, and it was generally agreed that children and adults who were breastfed were less likely to have a number of chronic diseases.
Sometimes, even the shortest breastfeeding can provide protection against the disease in a later period of life, but usually the longer the baby is breast-fed, the stronger the immunity.
+ Maternal milk lays the basis of immunity
The American Academy of Sciences released data recently received by Canadian scientists who studied the effects of breastfeeding on infant health. In breast milk, they found a soluble protein (protein) sCD14, stimulating the formation of B lymphocytes, representing the first line of protection against the invasion of foreign bodies, viruses and microbes and constituting the basis of our immunity. Judging by the results of the tests, this protein is present in the mother's milk for four hundred days after delivery.
+ Maternal milk is AGAINST vaccination
Mothers, who feed babies with their own milk can be absolutely calm about their health because a beby will receive all antibodies to all deseases a mother ever faced, and it's a great basis for future baby's health.
Many moms are afraid a child to be sick and they choose vaccination as a way to prevent it, but it's wrong! Vaccination will kill baby's immunity very fast and he will be sick oftener from year to year, but mother's milk will really build strong protection from all viruses and deseases.
+ Breastfeeding improves the condition of future newborn teeth
This was reported by pediatricians from the University of Milan. As shown by their studies, breastfeeding is a kind of training of the muscles of the face, which is incomprehensible yet, subsequently reduces the likelihood of developing defects in the teeth. Thus, children receiving breast milk, have the disposition of teeth less often , and pathological interdental spaces appear less frequently than those who are fed artificial substitutes.
+ Breastfeeding reduces the chances of obesity development
The Bavarian doctor Rüdiger von Kreis stated that an average of 2.8% of babies breastfed with mother's milk suffer from obesity, already 4.5% of them are "artificial".The longer the breastfeeding, the less the risk of the disease. So, obesity developed only in 0.8% of children who received breast milk for at least a year. The German pediatrician is sure that the reason should be looked for in the uniqueness of the composition of breast milk.
American researchers from the medical center at the Children's Hospital in Cincinnati found in breast milk the presence of a large amount of protein, which affects the process of processing fats in the body. Researchers believe that a protein called adiponectin can affect a person's predisposition to fullness.
This is the first step in understanding the relationship between breast milk and metabolic processes. The work of the researchers was presented at the annual meeting of the Academic Societies for Pediatrics in San Francisco.
+ Breastfeeding has a significant effect on the formation of the child's brain
Norwegian and Danish scientists have established that children who were fed with human milk lagged behind their peers in mental development. The authors of the study explain this by the effect on the brain of the child of the biologically active substances of the mother's milk and close contact with the mother during the feeding.
345 children were examined. 17% of them were breastfed for less than three months. The coefficient of intelligence (IQ) of these children was thirteen months and five years lower than that of children who had been breastmilked for more than six months. These differences persisted even when taking into account factors such as mother's smoking, her age, intellect and education. On physical development, in particular, on the coordination of movements, the duration of breastfeeding was not affected. The results of the study were published in a recent issue of the journal Archives of Disease in Children.
+ Sugars of breast milk fight resistant and dangerous bacteria
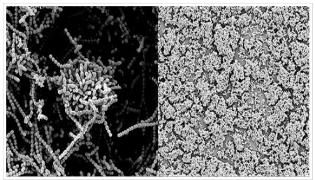
The close-up image on the left illustrates how streptococci usually coalesce together to form a protective biofilm. The photo in the right part shows how the biofilm breaks down when the streptococcal culture touches the carbohydrates of breast milk and thus destroys their resistance to the effects of antibacterial agents.
This photo is part of a study by Stephen Townsend and his colleagues that led scientists to conclude that mother's milk, which consists of a complex and ever-changing mixture of proteins, fats and carbohydrates, helps protect children from bacterial infections.
This list can be endless, the advantages of breast milk is obvious to all wise parents. Nature has created everything for our perfect health, we must just use it!
Unfortunately in Russia it's not very popular, and moms think it's ok to choose artificial feeding for a baby even when there are no sufficient reasons for it. They just take care of themselvs and want to have more free time. It's a great pity they have chosen egoism but not a healthy and happy baby...
Is breastfeeding popular in your country? How long do moms feed babies with their milk?




Я кормила почти до трех лет)) Врачи с меня смеялись, один даже позвал медсестру - говорит, вот посмотри, какие динозавры еще встречаются. В целом столкнулась с тем, что наши врачи рекомендуют максимум до года кормить, не смотря на то, что мировые стандарты - МИНИМУМ до двух лет
аплодирую стоя! умничка-мама! Поддерживаю и разделяю)
сами они динозавры и те, кто их слушает. пациентов себе готовят, обеспечивают работой себя,вот и ратуют за быстрое отлучение)
до 2 минимум - совершенно верно! Во многих странах и до 3 и больше. Всемирная Молочная Лига вообще за самоотлучение или за кормление до 7, когда заканчивается закладка иммунитета. В наших странах этом плане, конечно, все убого и печально.
Ну до семи я бы точно с ума сошла кормить, у меня малая не спала из-за кормления ночами, вечно по привычке грудь искала, но ничего, думаю все равно на пользу) Мне один врач заявил - ей год, а вы еще кормите?? Отлучать давно пора, мажьте зеленкой.
дебилы)) и перетягивайте сиськи) и кормить надо по часам и вообще у вас молоко нежирное, переходите на смесь)) книгу их маразмов издават надо уже)) конечно, на пользу!
да, перетягивать педиатр тоже говорила. Как представлю этот процесс - аж дергает
так они и сейчас эту ересь, как и в прошлом веке, несут?)) ну это уже перебор)) намазанные зеленкой еще и перетянутые - ну клоуны))))
да, вот год назад в больнице лежала, мне лечащая сказала перевяжи и не корми больше. Малой тогда и двух не было.
ну это по старинке, как при совдепии было) мне мама рассказывала эти ужасы, я в шоке была, а ей нормально, как само собой разумеющееся, они другого и не знали, но что до СИХ ПОР эти недоврачи такое тулят, это уже просто стыдно..
Great article! Thanks for sharing.
In the UK, where I was for a decade and a half, it was common to begin breastfeeding, but by six months, very few still feed despite the World Health Organization recommending breastfeeding for the first two years of life! Saying this, it was widely accepted and discreet breastfeeding is rarely a problem even in public.
In the US where I'm from and where I am again, breastfeeding is widely encouraged, but not as widely practiced/accepted as it should be. Women are encouraged to cover up (breast and baby because we can't have a glimpse of tit, now, can we???) and/or go to the lavatory to feed!!! Worse, there are groups now who actively discourage claiming that breastfeeding is better than bottle feeding! Lower class women are far less likely to breastfeed than those with greater wealth and/or knowledge. (Though some of this group I just mentioned are the wealthier/knowledgeable crowd who simply don't want to feel guilty for their choices...)
For me, I breastfed all of my six children - they did not have formula. It doesn't mean it was always smooth sailing, but we got there!
thank you for your story so much!!
so in the US it's more popular than in the UK? I'm surprised. As far as I know women in US must go to work after only 3 months after the birth! It's awful! How can they feed then? In Russia women rest and stay at home with a baby for 2 years but they still don't deed so long, maximum 1 year as a rule.
Here women don't feed in public either, but it's wrong I think. There's nothing sexual and nothing bad in feeding your baby, there're clothes, special models, which cover breest and Moms can feed even in cafes or in streets! There're ways out if women really want it!
No, breastfeeding is definitely more popular among the general public in the UK rather than in the US. In the US, it seems to be more common in certain circles, but it's almost forbidden to share the news about breastfeeding within may other circles.
I like that Russia has women stay home for so long. It's another thing more accepted in the UK than the US too. But in both countries it is more and more common for a woman to get a short time at home and then put babies into child care situations. (Especially low-income women.) It's a sad thing, to be sure, and the society will pay in the long run. :(
@originalworks
The @OriginalWorks bot has checked the text of this post and it appears original!
To call @OriginalWorks, simply reply to any post with @originalworks or !originalworks in your message!
Wow! Another Great post!! Definitely supporting this! Keep up the good posts! 😉
Я кормила до года и трех, и почти все мои знакомые кормили, разве в Крыму это не распространено? Правда, к сожалению, не могу сказать, что мой ребенок болеет меньше других, наоборот, есть те, которые с самого рождения были на смеси, и болеют реже, это же касается и умственного развития, из этого сделала вывод, что кормить грудью, конечно, нужно, но это не панацея от всех болезней, есть еще очень много других факторов, которые влияют на здоровье ребенка.
кормят и у нас, но в основном по накатанной, не понимая и не вникая в суть, а если и не кормят, то и не печалятся, смеси же есть. слышала даже феерично-маразматичное мнение о том, что кормить вообще не надо, в молоке одна вода (конечно от той, которая и не кормила-)
ГВ очень влияет и на здоровье и на развитие, я собиралась диплом консультанта по ГВ получать, поэтому изучала много всего на эту тему, а в этих данных, в отличие от данных о пользе смесей, привирать в лучшую сторону невыгодно никому, кормление никому, кроме детей, выгоды не приносит же) на здоровье, конечно, влияет и наследственность, и беременность, и роды, и питание, и вмешательство в организм (прививки, антибиотики), но кормление дает огромный бонус. На иммунитет, кстати, влияние основное идет как раз после года, состав молока меняется. И сверху девочка правильно написала: только у нас врачи, как дикие кричат о срочном отлучении после года, хотя в мире везде, напротив, пропагандируется длительное кормление.
А искусственники вообще очень отличаются, это в корне другие дети, и это обязательно проявится с годами. Про эмоциональную привязанность и связь с мамой - это вообще отдельная тема.
Да, эта девочка- моя подруга) У нас в Одессе врачи не кричат об отлучении после года, и я вот искусственница и совершенно не болела и не болею) Я, конечно, тоже за грудное вскармливание, так как сама кормила достаточно длительное время и кормила бы еще дольше, пришлось прекратить по семейным обстоятельствам, но сравниваю своего ребенка с детьми, которые с рождения на смесях, так многие и не болеют почти, и уже разговаривают вовсю, а наш молчит, и ложку сами держат, и на горшок ходят - это если говорить об умственном развитии. Мой ребенок этого всего не умеет, хотя и пытались научить, и в школу раннего развития водим. Я, конечно, не жалею, что кормила, но пока не могу понять чем мой ребенок отличается от исскуственников в лучшую сторону. К слову, я искусственница и все это умела в его возрасте и стихи уже рассказывала. Тут так все неоднозначно, хотя, никто не спорит, что грудное вскармливание лучше чем самая дорогая смесь.
и она из вашей песочницы? вот это вы - мафия тут)))
говорение и горшки - вообще не показатель умственного развития, даже не равняйся на это, и вообще на других не смотри) я знаю детей в 4 заговорили, зато сразу чисто и предложениями на уровне первоклашек, а другие все мямлили с 2 лет и в итоге говорят хуже. так и со всем остальным. детенок может не ходить на горшок, но быть в 10 раз умнее того, которого приучили тупо по рефлексу бежать за ним) А твой потом может в 5 примеры решать будет, а этот с горшком зачитает еле-еле к 7) Я не вожу ни в какие школы и не собираюсь. у каждого манюна свое время для всего, все эти стандарты, кто что должен уметь - бред прошлого столетия. Вот увидишь, будет твой еще способнее всех, кто его якобы сейчас опережает) есть в кого, ну))
Ну да, это подруга детства, так сказать)) Спасибо, будем ждать, что заговорит, пока по врачам не хочу водить, а то назначат кучу химии, а ребенка травить не хочется, он и так болезненный.
вот странно, откуда болезненность, если вы здоровые такие( где-то причина... та какие врачи, ты что, им надо лечить, они и здорового лечить начнут и залечат. ему ж 2 годика всего? очень рано! знаю кучу малышни в 3 года молчат еще, и никто даже и в ус не дует) а тем более, по наблюдениям, пацаны всегда начинают говорить позже девок. но все заговорят)
Мы сами понять не можем, генетика должна быть нормальная, муж еще здоровее меня, практически не болеет. А по поводу врачей согласна, они когда Кириллу еще годик был, говорили: "Вы что себе думаете? Он уже минимум 4 слова должен говорить и держать ложку, через два месяца приходите и будем думать, что с вами делать!" Кстати, он сейчас пытается говорить, но у него не получается, как-то язык не так складывает, даже "папа" сказать не может.) Но будем ждать, в крайнем случае уж лучше позже логопеда нанять чем химией колоть, речь обращенную к нему он же понимает.
сложит он все правильно, отстаньте от ребенка) защебечет, потом устанете слушать, будешь тишину вспоминать) а про 4 слова в годик - это адский ад) как и все их стандарты и нормы, единые для всех, не ребенок, а солдат, который должен расти и развиваться не как заложено природой, а как у них в бумажках написано. Я поэтому их давно никого не слушаю совсем. Им важны нормы и план, а не мой ребенок и его здоровье и развитие. Наши дети нужны только нам.
this is true. i am agree with you.
i take it almost 3 year. my mother say so. :)