Aprendamos a interpretar un Rx de Tórax no patológico
La interpretación de un Rx de Tórax puede ser el dolor de cabeza de gran parte del personal del sistema de salud, en especial de aquellos que aún se encuentran en formación. Sin embargo, si seguimos de forma sistemática este examen imagenológico, podemos facilitar de forma rápida su interpretación. Es por eso que el día de hoy, traigo para la comunidad de #stem-espanol una de forma sencilla de aprender las características básicas de este estudio y su análisis.
Fuente: Enlace – Dominio Público
Fuente: Flickr – Dominio Público
La radiografía de Tórax o Rx de Tórax, es uno de los estudios más solicitados en la mayoría de centros hospitalarios, y por ende el estudio de imagen más frecuente en cualquier departamento de radiología. Esta indicado en la exploración básica de patologías torácicas, como seguimiento de infecciones pulmonares, y de rutina en pacientes pre quirúrgicos.
Es uno de los métodos imagenológicos más antiguos, que sigue siendo el de mayor utilidad para la confirmación de diagnósticos y tratamiento.
A pesar de la sencillez del estudio, para muchos puede resultar algo confusa su interpretación. En el tórax se puede encontrar un gran número de estructuras, que vistas de forma rápida pueden pasar desapercibidas.
Se puede interpretar de múltiples formas, lo importante es que no se nos escape nada. No se trata de darle un vistazo general, y enfocarnos solamente en lo primero que nos impresiona, si no realizarlo de forma sistemática, visualizando cada detalle de la placa.
Identificación
Nombre y apellido, edad, fecha, hora y sitio donde se realizó la radiografía.
Tipo de proyección
Proyección Postero-anterior (PA): Es la más utilizada. En esta los rayos X atraviesan al paciente de atrás hacia delante. Es la ideal, ya que permite mejor visualización del campo pulmonar y del corazón.
Proyección Antero-posterior (AP): En esta los rayos se disparan de delante hacia atrás. La AP magnifica el corazón y es de menor calidad. Se realiza en decúbito, en niños menores de 5-6 años, pacientes en mal estado físico y en exámenes portátiles.
Proyección lateral: Solo debe hacerse después de inspeccionar la proyección PA. Se utiliza para lograr una valoración tridimensional del examen, permitiendo una mejor evaluación anatómica.
Calidad de la técnica
El tórax es un de las partes del organismo en el cual los rayos X producen imágenes con límites precisos por el aire contenido en los pulmones, obteniéndose así una buena información radiológica. Sin embargo, en muchas oportunidades, y por múltiples factores es posible tener una imagen de mala calidad que dificulta la interpretación del mismo. Es por eso que a la hora de hacer una lectura de este estudio, es importante tomar en cuenta ciertas características:
Centrada: La distancia entre las apófisis espinosas y el inicio de las clavículas debe ser la misma. Esto quiere decir que la placa va a ser simétrica y podemos interpretarla de la mejor manera. Cuando no lo está, se dice que la placa está rotada.

Fuente: Wiki – Dominio Público - Modificada por el autor
Penetrada: Se dice que la placa esta penetrada cuando se logra visualizar las cuatro primeras vértebras dorsales y la columna de aire de la tráquea. Si la placa es muy penetrada, se ven los campos pulmonares hiperlúcidos, se borran los hilios pulmonares y parte de la silueta cardíaca, y se observa un mayor número de vértebras. Caso contrario sería blanda o poco penetrada, donde no se verían cuerpos vertebrales.

Fuente: Wiki – Dominio Público - Modificada por el autor
Inspirada: La Rx debe tomarse en inspiración, ya que el campo pulmonar alcanza su tamaño máximo y puede verse de mejor manera. Nos damos cuenta que está bien inspirada cuando se puede observar seis a ocho arcos costales anteriores, y de 8 a 10 posteriores.

Fuente: Wiki – Dominio Público - Modificada por el autor
Colimada: Se logra visualizar la cámara gástrica.

Fuente: Wiki – Dominio Público - Modificada por el autor
Abordaje sistemático
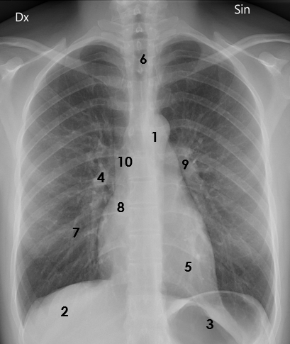
La radiografía de tórax debe interpretarse o “leerse” en forma ordenada o sistematizada. Lo ideal es comenzar de afuera hacia dentro, por las estructuras extrapulmonares:
Partes blandas: Se pueden observar mediante sombras u opacidades piel, tejido celular subcutáneo y músculos.
Elementos óseos: Principalmente en búsqueda de deformidades y fracturas. Es bueno realizar la comparación con la parte contralateral. Es posible visualizar clavículas, escápulas, esternón, columna y arcos costales.
Es posible también visualizar prótesis, catéteres, marcapasos.
La radiografía debe estudiarse colocada en el negatoscopio.
Mediastino: Tráquea (posición y forma de columna de aire), bronquios, elementos vasculares (vena cava, arteria pulmonar, cayado aórtico, tronco arterial braquiocefálico), atrio derecho, ángulo cardiofrénico derecho e izquierdo y ventrículo izquierdo.
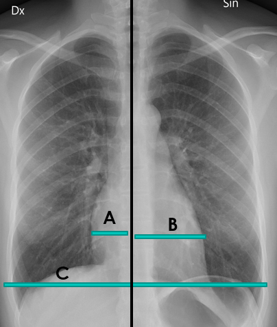
Silueta Cardíaca: Calcular índice cardiotorácico:
- Se traza una línea media.
- Se mide la distancia entre el punto más distal de cada borde cardíaco (aurícula derecha y ventrículo izquierdo) y se suman.
- Se mide el diámetro transversal de la caja torácica.
- Se divide el primer dígito por el segundo.
En adultos el valor normal es < 0,50 cm. Un valor superior a este, es indicativo de cardiomegalia.

Imagen hecha por el autor

Fuente: Wiki – Dominio Público - Modificada por el autor
Diafragma: Hemidiafragma derecho más elevado que el izquierdo.
Pleura, campos pulmonares (en su mayoría radiolucido) y evaluación de hilios.
Si realizamos la interpretación siempre de la misma forma, se nos hará cada vez más fácil. Recordemos que la práctica hace al maestro. Una vez conocido lo normal, reconocer lo patológico será más sencillo.
La radiografía puede mostrar anormalidades que no son detectadas en la historia clínica, el examen físico ni exámenes de laboratorio. Es importante hacer hincapié que muchos pacientes con enfermedades pleuropulmonares, pueden tener una radiografía completamente normal. En otras condiciones puede haber poca correlación entre la radiografía y el estado clínico del paciente.
¿Te atreves a identificar las estructuras?

Fuente: Wiki – Dominio Público - Modificada por el autor



This post has been voted on by the SteemSTEM curation team and voting trail in collaboration with @utopian-io and @curie.
If you appreciate the work we are doing then consider voting all three projects for witness by selecting stem.witness, utopian-io and curie!
For additional information please join us on the SteemSTEM discord and to get to know the rest of the community!
Excelente aporte @keivynkaiba te recomiendo seguir la comunidad air clinic
Gracias por la invitación licen, desde ya siguiéndolo.
Buen post, @keivynkaiba, bastante fácil de entender.
También te invito a conocer y usar nuestra webapp oficial steemstem.io desde la cual puedes leer, publicar y comentar todas las publicaciones de la gran comunidad de #SteemSTEM y la subcomunidad #STEM-Espanol. Los artículos curados que hayan sido publicados desde esta webapp recibirán un 5% adicional del poder de voto.
Gracias, gracias. Interesante la app, la tendré en cuenta para un próximo post.