Dientes de más...||Reporte de caso de un mesiodents
No es ciencia ficción o edición de Photoshop, casos como estos aunque no son comunes pueden ocurrir.
Un supernumeriario o hiperdoncia.
es la presencia de un diente extra al grupo correspondiente donde se ubica puede imitar su morfología, aunque suelen ser un poco más cortos tanto en sus raices como en su corona, se pueden encontrar en pares o en solitario.
Aunque existe supernumerarios en grupos incisivos, premolares y molares, solo tratare los del grupo incisivos llamados Mesiodents para fines de explicar el caso clínico.
Un mesiodents es un diente supernumerario cercano a la línea media facial, región donde se encuentran los incisivos centrales este puede estar erupcionado o incluido dentro del maxilar e incluso invertido o en posición horizontal.
Se debe sospechar de un supernumerario incluido cuando:
- Exista retraso en la perdida de los incisivos temporales.
- Asimetría al erupcionar los dientes permanentes.
- Abultamientos en la encia o el paladar .
- Presencia de diastemas interincisal.
- Erupciones ectopicas (fuera de posición);de los incisivos.
Curiosidatos
- Solo el 25% de los casos se encuentra erupcionado.
- Entre el 85 a 90% de los supernumerarios se asocia al maxilar superior.
- Existe un componente hereditario y tiene predilección por sexo masculino
Consecuencias:
La presencia de mesiodents constituye una traba mecánica para la exfoliación de los dientes temporales asociados y en la erupción posterior de los dientes permanentes.
Diastemas interincisales y alteraciones psicosociales del invididuo que posee este tipo de anomalía dental.
Otras complicaciones clinicas a considerar, es una erupción por la cavidad nasal, quistes foliculares, malposiciones dentarias y hasta reabsorción de las raices de los dientes permanentes.
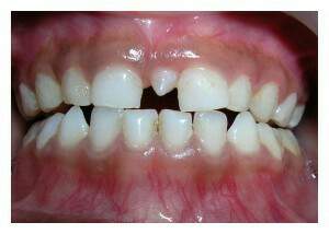
El caso que se presenta a continuación...
Es paciente femenina de 6 años de edad con hallazgo clínico y radiográfico de mesiodents. Además presencia de diastema interincisal lo que ha ocasionado timidez en la interrelacion de la portadora al sonreir (sonrisa labial, sin mostrar dientes) al interrogatorio la representante refiere burlas en la escuela por su condición.
Despues del examen realizado se procedio a planificar intervención quirurgica simple para la extración del mesiodent. Acto operatorio sin complicación postoperatorio mediato a los 3 dias satisfactorio; se observa aumento de autoestima y confianza al sonreir.
El tratamiento de elección para este tipo de casos es la extracción quirurgica y se realiza por razones tanto funcionales como estéticas en primer orden y se sugiere el diagnostico temprano para evitar consecuencias graves descritas anteriormente.
Agradecimientos a @altooq por su apoyo e ideas para este post.
El caso descrito en este post corresponde a uno de mis casos clínicos de mi consulta privada; por derechos de confidencialidad se utiliza recursos de apoyo de la web.
Posted using Partiko Android






This post has been voted on by the SteemSTEM curation team and voting trail. It is elligible for support from @minnowbooster.
If you appreciate the work we are doing, then consider supporting our witness @stem.witness!
For additional information please join us on the SteemSTEM discord and to get to know the rest of the community!
Please consider using the steemstem.io app and/or including @steemstem in the list of beneficiaries of this post. This could yield a stronger support from SteemSTEM.
Congratulations @madefrance! You have completed the following achievement on the Steem blockchain and have been rewarded with new badge(s) :
You can view your badges on your Steem Board and compare to others on the Steem Ranking
If you no longer want to receive notifications, reply to this comment with the word
STOPDo not miss the last post from @steemitboard:
Vote for @Steemitboard as a witness to get one more award and increased upvotes!