Caries de la Infancia Temprana.
Hola queridos amigos, hoy les quise escribir acerca de la Caries de la infancia temprana, si eres padre y tienes niños pequeños, incluso bebés, te recomiendo que leas hasta el final. Como Odontólogo cada vez mas llegan a mi consulta niños en edades tempranas con caries bastante avanzadas, y déjame decirte que los niños no solo son los que sufren con este problema, sino los padres también ya que, si bien es cierto que muchos adultos temen ir a la consulta, imagínense lo traumático que puede ser para un niño . Puede que estés pasando ya por esto, puede que no, este post te ayudará a saber como padre que puedes hacer para evitar que a tu hijo le pase esto.

Fuente
La Caries dental es una enfermedad de origen multifactorial que se inicia después de la erupción dentaria, determinando el reblandecimiento del tejido duro del diente y que evoluciona hasta la formación de una cavidad. Si no se atiende oportunamente, afecta la salud general y la calidad de vida de los individuos de todas las edades.
La Academia Americana de Odontología Pediátrica define la caries de la infancia temprana (CIT) como la presencia de uno o más dientes cariados (cavitados o no), ausentes (debido a caries), o restaurados en la dentición primaria, en niños de edad preescolar, es decir, entre el nacimiento y los 71 meses de edad. Cualquier signo de caries en superficies lisas en niños menores de tres años, nos indica una CIT severa. En aquellos niños de tres a cinco años de edad, la cavitación de una o más superficies, dientes perdidos (por caries) o superficies lisas restauradas, cavitadas, ausentes en dientes primarios anteriores superiores, o con un índice de restauración de superficies ± 4 (a los tres años), ± 5 (a los cuatro años), o ± 6 (a los cinco años de edad) constituye CIT severa.
La CIT puede ser una forma de caries particularmente virulenta, que comienza poco después de la erupción dental, se desarrolla en las superficies dentales lisas, progresa rápidamente y tiene un impacto perjudicial en la dentición.
Hace años se le conocía como caries de biberón, ya que se le asociaba a la utilización de éste; sin embargo, se ha demostrado que no sólo se debe al uso frecuente del biberón, ya que puede aparecer con la presencia de cualquier líquido azucarado (natural o artificial) como la leche, fórmulas, jugos de frutas y refrescos. Además, se sabe que también la alimentación a libre demanda del seno materno y la utilización de tazas entrenadoras y de chupones endulzados pueden causar esta caries. La alimentación al seno materno, por sí sola, no genera CIT, pero cuando se combina con la ingesta de otros carbohidratos se ha encontrado que es altamente cariogénica.
La caries es una enfermedad infecciosa y transmisible, la cual requiere que estén presentes al mismo tiempo los siguientes tres factores, para que la enfermedad se desarrolle:
- Un hospedero susceptible (diente)
- La flora bucal cariogénica (microorganismos)
- Sustrato de carbohidratos fermentables en la dieta.
Cuando una superficie susceptible del diente es colonizada por bacterias cariogénicas y está presente una fuente de sacarosa, éstas producen ácido láctico a partir de la fermentación de los carbohidratos, lo que provoca la disolución de los cristales de hidroxiapatita del esmalte del diente y ocasiona la caries dental.
Se ha implicado al Streptococcus Mutans (SM) como el principal y más virulento microorganismo responsable de la caries dental. Existen otros microorganismos como el Lactobacillus, Actinomyces y otros tipos de Streptococcus que también participan, pero su rol es de menor importancia.
Normalmente, el SM no se encuentra en la cavidad oral del recién nacido y sólo se detecta tras el inicio de la erupción de los dientes temporales. Al aparecer las piezas dentales en la boca, es posible que sobre ellas ocurra la formación de la placa bacteriana, estructura microbiana considerada como el principal agente causal en la mayoría de las enfermedades dentarias, pulpares y periodontales.
El SM es uno de los primeros microorganismos en adherirse a la placa bacteriana y multiplicarse allí. Estos microorganismos son capaces de producir ácidos y polisacáridos a partir de los carbohidratos que consume el individuo, lo que tiene importancia porque los polisacáridos les permiten adherirse a la placa bacteriana y el ácido es capaz de desmineralizar la capa de esmalte de la pieza dentaria, siendo esto último la primera etapa en la formación de la caries dental.
La caries dental también se considera una enfermedad transmisible, aunque no en el sentido tradicional. Las bacterias responsables de la enfermedad, junto con otras bacterias autóctonas, generalmente son transmitidas verticalmente de la madre al niño. Los niños de madres con niveles altos de SM, como resultado de la caries no tratada, tienen mayor riesgo de adquirir el microorganismo en forma más temprana que los niños con madres de niveles más bajos.
La transmisión horizontal del SM, también se lleva a cabo entre los miembros de la familia y los encargados de cuidar al niño, por lo que se deben evitar las actividades que involucren el intercambio de saliva, como: compartir utensilios, limpiar el chupón con la boca antes de ser utilizado, etc. Todas estas medidas pueden ayudar al niño a disminuir la adquisición de microorganismos cariogénicos.
La caries se puede observar en diferentes estadíos, lo importante de tener esta información, es que tu como padre o profesional puedas detectar la caries a tiempo para evitar complicaciones mayores.
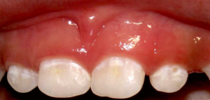
A) El estadío de lesión blanca:
En los estadíos más tempranos, la lesión del diente aparece como una mancha blanca de superfifie porosa como "Tiza", con una superficie intacta donde la lesión de la sub-superficie es reversible. En niños menores de tres años, estas lesiones incipientes se observan por lo común en la superficie frontal de los dientes anteriores. Cualquier mancha blanca debe ser referida para la evaluación por un odontólogo.
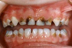
B) El estadío de cavidad:
Si continúan perdiéndose los minerales debido a los ataques ácidos, eventualmente la superficie se rompe o se "cavita" y la lesión no puede ser revertida. Si la lesión sigue progresando, grandes áreas del diente se pueden perder. Las lesiones activas cavitadas son generalmente de color café dorado, mientras que las que han estado más tiempo en la boca, son más oscuras y en ocasiones casi negras.
Los padres deben tomar medidas de prevención que ayuden a mejorar la salud oral de sus hijos y en esto se incluyen las siguientes medidas:
- No compartir nuestros utensilios con el niño a la hora de comer.
- No cepillar a los niños con nuestro cepillo dental.
- No darle besos en la boca.
- No lavar el chupón del bebe con su saliva.
- No sople la comida, enfríela de otra manera.
- Deben efectuarse controles odontológicos periódicos, tanto la madre como el niño. Controlando los niveles de SM en la madre, se previene el contagio del niño.
- Si el niño se queda dormido mientras se está alimentando, los dientes se deben limpiar antes de acostar al niño.
- En niños con dientes se recomienda el uso diario de una pasta con fluoruro, de preferencia a dosis bajas y alta frecuencia, dos veces al día, ya que ofrece muchos más beneficios que una sola vez al día. Los niños menores de dos años deben utilizar solamente una capa delgada de pasta sobre el cepillo dental para disminuir el riesgo de fluorosis, y niños de dos a cinco años deben emplear una gota pequeña de pasta dental. El cepillo debe ser blando, de tamaño adecuado a su edad y los padres deben realizar o asistir el cepillado.
- Se debe iniciar el empleo del hilo dental (asistido), cuando las superficies de los dientes adyacentes no puedan ser limpiadas por el cepillo dental.
- Se debe evitar el consumo repetitivo de cualquier líquido que contenga carbohidratos fermentados por medio de biberón o tazas entrenadoras.
- Se deben evitar refrigerios entre comidas y exposiciones prolongadas de alimentos y jugos u otras bebidas que contengan carbohidratos fermentables.
- No es recomendable que los niños entre uno y seis años consuman más de cuatro a seis onzas de jugo de frutas por día, en taza (en biberón o en taza entrenadora) como parte de la comida.
- Si el niño requiere el uso de un chupón, éste debe estar limpio y sin ningún carbohidrato fermentable.
- Comenzar a limpiar diariamente los dientes del niño desde su aparición en la boca, con una gasa o un cepillo adecuado.
- Consultar con el odontopediatra desde el primer año de vida del niño para realizar medidas preventivas y educativas.
- Reducir la ingesta de hidratos de carbono por parte de los niños.
- No dar tetero (biberón, mamadera) durante la noche a los niños y cepillar sus dientes antes de dormir.
Además, los médicos pediatras y los demás profesionales de la salud que tienen contacto precoz con las madres embarazadas y mujeres con niños pequeños (médicos obstetras, matronas, enfermeras…), deben estimularlas e insistir en el cuidado de su salud oral como parte del cuidado de su salud y la de sus hijos.
Aquí las fuentes de donde obtuve la información.
Fuente
Fuente
Fuente
Espero te haya servido esta información. Lo que hoy puedas aprender es un problema menos que tendras a futuro. Con cariño @teregogfrey
¡Felicidades, #proconocimiento te valoró!
Has sido reconocido(a) por tu buen post por el Comité de Arbitraje y Valoración del Proyecto Conocimiento @proconocimiento.
Apoyamos y valoramos tu esfuerzo...
Proyecto Conocimiento es parte de la comunidad @provenezuela.
Pioneros en la plataforma #steemit en el reconocimiento y valoración a la Producción Intelectual en habla hispana.
“Contra el plagio, el discurso creador”
Gracias es importante para mi que haya sido de su agrado y se considere útil. bendiciones