Vivir después del covid
Tenemos un año en esta pandemia, no es extraño para ninguno de nosotros todo lo que está pasando, es un momento extraño de nuestra vida, pasará a la historia y como humanidad seguiremos adelante.
Comparto mi experiencia de este horrible virus, todo empezó el domingo 28 de marzo. Sentía un poco de cansancio y malestar, seguido por un dolor de cabeza leve, decidí tomar acetaminofen y acostarme a dormir.
Lunes 29 de marzo:
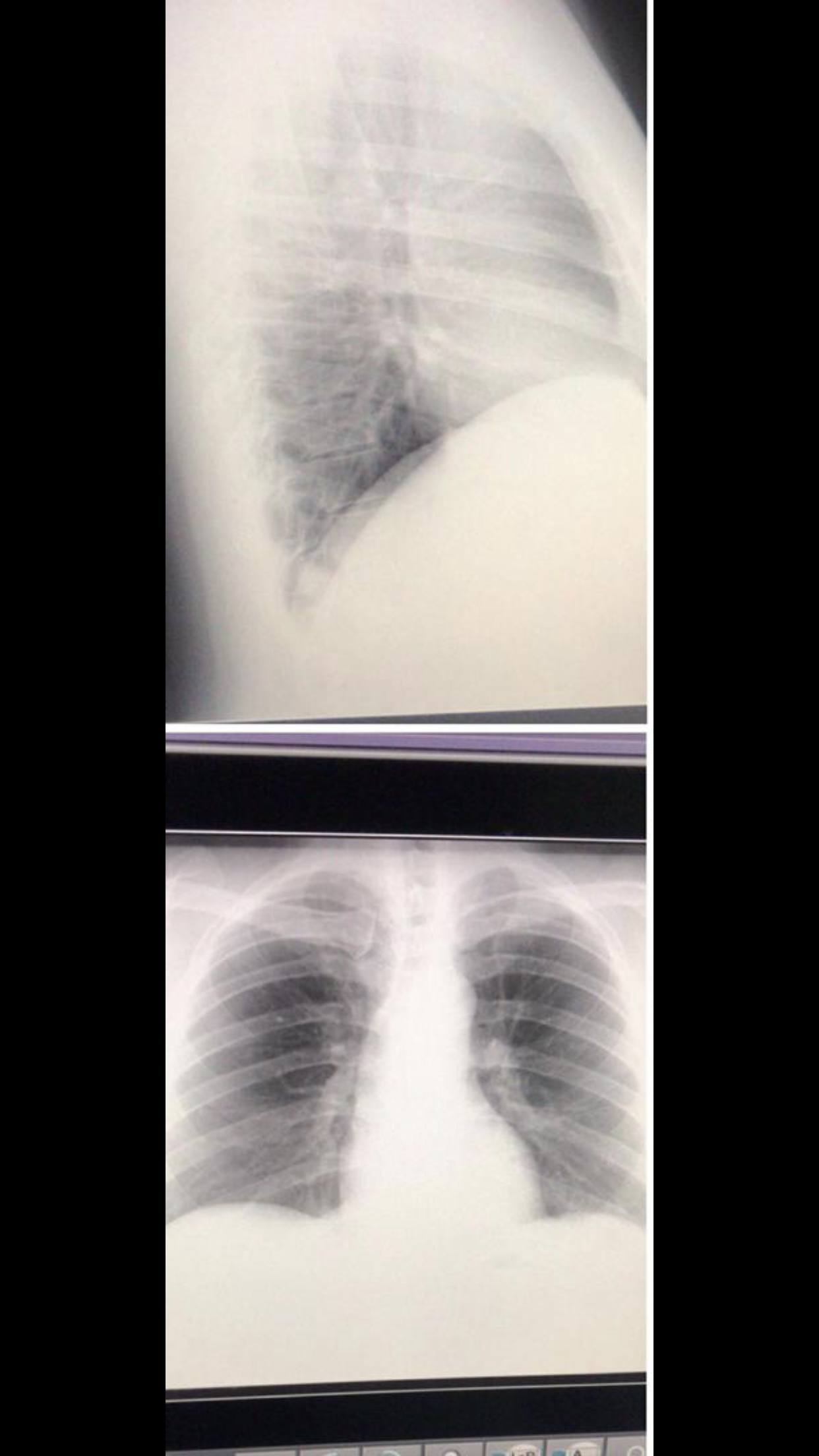
Empiezo el día sintiéndome muy cansado, con síntomas de fiebre, malestar leve y dudando si sería una gripe por mojarme días anteriores o covid, decido ponerme doble tapabocas irme a trabajar con distancia entre las personas!. Pasando las horas decido irme a mi casa porque los síntomas eran mayores, pero antes paso por una clínica para hacerme un rayos X de tórax, para mi sorpresa este fue el resultado:
El daño ya estaba hecho. Decido tratarme en casa por los síntomas que me dieran solo con acetaminofen, grave error.
Martes 30 de marzo:
Los síntomas se sentían como una gripe muy fuerte, más o menos 5 veces una gripe normal, seguí en mi casa aislado, solo en casa pensando que pasaría en unos días, mi pensamiento diarios consistía en decirme a mi mismo que no pasaría nada.
Miércoles 31 de marzo:
Empieza una pequeña tos y malestar febril. Acetaminofen era lo único que tomaba.
Jueves 1 de abril:
Los síntomas iban disminuyendo y yo pensaba que todo estaba por mejorar así que seguí tratándome igual, porque al final “ya estaba mejor”
Viernes 2 de abril:
Me despierto en la Madrugada con una tos muy fuerte, fiebre 39, dolor muscular y mucho dolor de cabeza. Algo estaba mal. Por más que tomara acetaminofen nada cambiaba. Paso el día sintiéndome muy mal y se acercaba unos días muy difíciles.
Sábado 3 de abril:
Llevaba ya 24 horas sin dormir relativamente ya que solo podía descansar por una hora interrumpida del resto la fiebre el malestar no Me dejaba cerrar los ojos, ya no podía estar solo, mi novia decide arriesgar su vida pese a mis deseos de estar solo por no enfermar a nadie, pero ya no tenía fuerzas ni de levantarme de la cama, no tenía fuerzas para hablar solo para quejarme de lo mal que me sentía, ella decide llevarme a un médico privado pero sólo atendían partir del lunes. Decidimos esperar porque los servicios hospitalarios en venezuela están colapsado, no funcionan muy bien y yo no quería arriesgarla más a ella!. Nos manteníamos alejados ella no se quitaba los dos tapabocas y dormía en imites habitación sellada y muy protegida ( después nos enteramos por las pruebas que a ella él dio covid y justo estaba saliendo de él pero los síntomas fueron tan leves que no se Dios cuenta ) así pase el día, entre fiebre alucinaciones donde cada hora que pasaba sentía que eran 8 a 10 horas, no sabría explicarles.
Domingo 4 de abril:
Todo ha empeorado!. Ya la tos que tenía no me dejaba hablar, me podía escuchar toda la cuadra tosiendo y una flema me ahogaba!, ya no respiraba bien, ya no sé cuánto tiempo dormía porque la fiebre me hacía alucinar, ya todo estaba empeorando ya no podía hacer nada ya estaba muy mal.
Lunes 5 de abril:
Me Levantaron para ir a la consulta con el médico neumonologo y como pude fui con mis rayos X, llegamos a la consulta, esperamos una hora sentados en las escaleras para no estar cerca de personas, cuando toco mi turno, el doctor toma mi saturación estaba en 92, tenia tos, el corazón acelerado ( y vaya que no les he contado… soy hipertenso algo grave en esta enfermedad ) y el malestar cada vez peor, el doctor me manda acetaminofen, un anticoagulante en pastillas, dexametazona intectado por 10’dias intramuscular y ya!. A la casa muy normal, me quede inconforme con esto pero la verdad no tenía fuerzas de nada, iba en el carro desmayado de lo mal que me sentía.
Martes 6 de abril:
Nada que mejoraba, me inyectaban, me tomaba todo y cada día me sentía peor.
Miércoles 7 de abril:
Cada día empeoraba me estaba desesperando ya empezaba a toser sangre de el esfuerzo que hacía para toser, no respiraba nada bien, ya me sentía mal me desmayaba tosiendo, y vale acotar que desde el fin de semana no bajaba la Fiebre con nada.
Jueves 8 de abril:
Ya mi cuerpo me decía que tenía que hacer algo porque cada día empeoraba, cuando ya decía que no podía ser peor, era mucho peor, decidimos Volver al Médico que me Mando antes de llegar a realizarme unos exámenes de sangre y una resonancia de tórax, llegamos con los estudios y nuevamente los reviso me mando A la casa hasta que le pregunté y no voy a tomar antibióticos?. En ese Momento me dijo que sí que los tomara ( si no él preguntaba no me los mandaba ) ya me di cuenta que el señor no trataba con pacientes covid y que a pesar de ser muy bueno es una enfermedad que necesita ser tratada para Poder “entenderla” muchos estudios y aún no se sabe ni el 20% de ella, por eso puedo entender al doctor hasta cierto punto.
Así pase varios dias sufriendo esta terrible enfermedad hasta que ya mi cuerpo no resistía lo mal Que me sentía!. El día sábado un amigo me llevo una bombona de oxígeno que me ayudo mucho con el ahogo ya que no les había mencionado mi oxigenizacion había llegado a 85 a 89, me hice por primera vez una prueba PCR en la cual salí positivo, no había duda que aún estaba positivo y que ciertamente era covid, el día domingo ya mis hermanos que no están en el país, mi novia, mis amigos
Todos preocupados buscaron una alternativa, aquí entra uno de los Angeles enviados por Dios y mis padres del cielo.
Domingo 9 de abril:
La doctora sharon toro es una doctora cirujana, que no es neumonologo pero ha tratado pacientes covid desde el Primer día, un año más o menos salvando vidas hasta donde Dios le permite, depositamos nuestra confianza en ella, llegó a la casa con su traje y con buena actitud a revisarme, mi sorpresa es que el Oxígeno no subía, mis pulmones estaba comprometidos, la tos no me dejaba respirar mientras me ahogaba tosiendo, seguía la fiebre los malestares, no comía, solo estaba inerte viendo el techo o cualquier cosa sin sentido en este momento. Ella decide cambiarme el tratamiento y recuerdo sus palabras como me afectaron “ si de aquí al jueves no has mejorado hay que hospitalizarte, estás muy grave ) después de 3 horas se fue y yo quede un poco alterado con sus palabras, pero decidí intentar ser positivo y salir de esto, no me iba a rendir, no ibas ir a hospitalizarme porque sabía que no regresaría a casa.
Lunes 10 de abril:
El tratamiento en pastillas ya no funcionaba, deciden ponerme una vía para poner el antibiótico más fuerte y directo, hidratarme y ver cómo evolucionaba, aquí llega la enfermera rosa, ella venía dos veces al día a ponerme el tratamiento, cuando me tomo la vía, me desmaye, es que no les he contado, le tengo fobia muy aguda a las agujas, ya llevaba 7 días de dexametazona inyectado intramuscular y pensaba que ya se iba a acabar mi tortura que con lo mal que estaba no quería más inyecciones, bueno empezamos un tratamiento en el
Estómago diario de 4 inyecciones de anticoagulantes y 4 más en la noche. Durante 10’dias me lo inficaron…
Las primeras no dolían porque son agujas subcutáneas muy pequeñas como las inyecciones de insulina, pero después de la numero 30 o 40 ya dolían peor que cualquiera, empezaba a mejorar como una montaña rusa, pero los exámenes empeoraban y mi saturación sin las bombonas de oxígeno estaba en 60. Me desmayaba todo iba de mal en peor.
Martes 11 de abril
La doctora me receta un jarabe para la tos el cual desde la primera vez que lo tome tuve mejoría, su base era de codeína ( pueden buscarlo en google ) ya a este punto no podía estar acostado en la cama porque sentía la flema como se movía en mis pulmones y me Johana tosiendo hasta desmayarme.
Miércoles 12 de abril:
Sentía una ligera mejoría y rezaba a dios que todo estuviera mejorando, lamentablemente no era así, tuvieron que ponerme Un tratamiento más fuerte de metilprednizona el cual es lo que ayudo a mi mejoría,
Me repititen los exámenes el día viernes 14 de abril donde por muy poco estaba mejorando la doctora insistía en que tenía que estar hospitalizado, pero mi fuerza de voluntad y deseo de vivir eran mayores!.
Estuve 14 días más luchando por mi vida diariamente, teniendo el Oxígeno 24 horas 7 días de la semana, sin rendirme, tranquilizando mi mente, aferrándome a dios y a mis padres que me cuidan desde el cielo!. Sin dinero por el tan caro tratamiento, comiendo lo que podíamos, luchando contra la depresión de estar tantos días sentado en un mueble sintiéndome que si me dormía hasta ahí abriría los Ojos.
Un día me levante del mueble, camine hasta un colchón y me acoste… pude dormir por primera vez en casi un mes por más de una o dos horas consecutivas, fue una mejoría para mi, mi cerebro dijo: es un paso ahora da el
Otro!. Pude soltar el Oxígeno de las bombonas dos días después!. Aunque todavía no estába bien, estaba mejor.
Los exámenes empezaron a mejorar mucho!. La doctora se sorprendió al verme sin el oxígeno puesto y se alegró!. Todos bajos la guardia, lo peor había pasado!. Tuve 15 días de reposo absoluto después de esto!. Ya tengo una semana y 4 días que estoy volviendo a lo rutina, cuidándome el doble, pensando en lo afortunado que soy en estar vivo, agradeciéndole a dios por permitirme estar aquí!.
Es una enfermedad horrible, tenemos que ser consientes, ser fuertes, unirnos como humanidad, no podemos ver al prójimo pidiendo ayuda y simplemente pensar en otra cosa!, interésate en ayudar, si no fuera por las 43 personas que me ayudaron ( contadas ) donando dinero, comida, tiempo, medicinas, buscando medicinas, llevando a buscar el oxígeno, etc etc, hoy no estaría aquí contándoles por encima mi historia, que no está completa evitando más de la mitad de lo que sentía, de lo que viví, de la razón por la cual aún no duermo bien por miedo al ahogarme o no despertar, cuidémonos, ayudémonos. Sé que pocas personas leerán esto, este desahogo que les hago!. Cualquier cosa que necesiten. Algo que preguntar asesoría con gusto les podré ayudar!.
De izquierda a derecha mi mejoría
Gracias a dios, a mi novia, a mis hermanos, a mis amigos, gracias por salvarme la vida.
Solo dejo esta frase
El aire que respiraremos es alquilado, disfrútalo.
Gabriel araujo.




