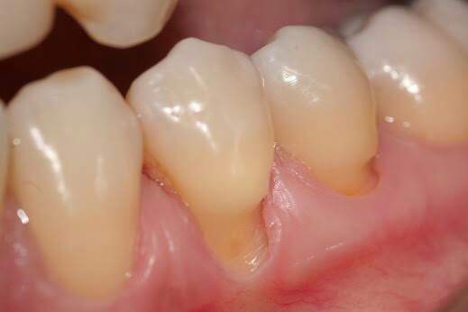
Gingival retraction
✴ Gingival retraction is the migration of the gingival margin, resulting in exposure of the root of the tooth.
Gingival retractions may have a traumatic origin (strong brushing with inadequate brushes) or caused by inflammation resulting from plaque buildup.
✴ They can produce dental hypersensitivity and increase the risks of root caries. In addition to being often an aesthetic complaint.
✴ The treatment depends on its causes.
Image Source: google images
Posted using Partiko Android


I have this problem.
Posted using Partiko Android
It is a little bit common.. be careful with brushing, make it gently
Posted using Partiko Android
Obrigado por postar! Esse comentário é o novo bot que dará upvote 5% para todos os posts que usam a tag #pt. Ainda não votou em mim como witness? Clique aqui e dê o seu voto! É rápido!
Hi ,On behalf of our awesome Steemit community, thank you so much for joining steemit. If you are interested in earning a good passive income from steemit then kindly download actifit app
https://play.google.com/store/apps/details?id=io.actifit.fitnesstracker.actifitfitnesstracker
and start track on your daily activities and at the the end of the day post your report card and earn passive income. You are awarded as per your daily activity count . Higher the count bigger the reward. Your are also rewarded with afit token which is currently 0.03 cent per token.
Join this Amazing dapp and earn so r steem for free
You can exchange afit token to steem also
Fell free to ask questions.
Posted using Partiko Android
Congratulations @daniellevieira! You have completed the following achievement on the Steem blockchain and have been rewarded with new badge(s) :
You can view your badges on your Steem Board and compare to others on the Steem Ranking
If you no longer want to receive notifications, reply to this comment with the word
STOPDo not miss the last post from @steemitboard:
Vote for @Steemitboard as a witness to get one more award and increased upvotes!