암은 무엇이고 왜 위험할까?
아래 그림은 게자리의 일러스트입니다. Cancer로 검색하면 가끔씩 게 사진을 볼 수 있습니다. 찾아보면 ‘Cancer’ 라는 단어는 암을 뜻하기도 하지만 라틴어로 게를 뜻하기도 합니다. 도대체 두 단어가 어떤 연관이 있을까요?
위키피디아에 따르면 고대그리스의 의학자 히포크라테스가 암 덩어리와 그 주변으로 뻗어나간 혈관이 게와 게다리처럼 보여서 그렇게 이름을 붙였다고 합니다. 뿐만아니라 수천년 전 이집트 파피루스에도 암에 대한 기록이 남아 있을 정도로 암은 예전부터 인류를 계속 괴롭혀왔습니다. 사람뿐만 아니라 초원에서 자연을 벗삼아 채식만 하는 소 같은 동물들도 암에 걸리고 식물들마저도 비슷한 질병이 있는 것을 보면 암은 다세포생물 숙명과도 같은 것이라 생각됩니다.
출처: 국가통계포털(m.kosis.kr)
현대에 이르러 의학과 기술이 많이 발전했음에도 불구하고 여전히 암은 생명을 위협하는 질병입니다. 한국에서 한해동안 돌아가시는 분들 10명 중 3명은 암이 원인입니다. 사망원인 중 1위이고 2위 와도 두배 넘게 차이납니다.
그렇다면 암은 왜 이렇게 무서운 병인 걸까요? 어떻게 해서 고작 세포덩어리가 사람의 목숨을 앗아갈 수 있을까요? 이번에는 암이 왜 이렇게 무서운 질환인지 암세포의 특징을 통해서 알아보겠습니다.
암이란 무엇일까요?
몸에 원래는 없었던 덩어리가 만져지거나 건강검진에서 종양이 발견되면 마음 한켠이 불안해집니다.
‘암이면 어쩌지...’
어떤 분들은 종양이라는 단어를 암과 같은 의미로 받아들이시기도 합니다. 하지만 모든 덩어리 (=종양)가 암인것은 아닙니다. 따라서 종양의 위치나 크기, 혹은 발생시키는 증상 등에 따라 치료 혹은 관리계획을 세우게됩니다.
당장 심각한 증상이 없는 이상, 향후 치료나 관리과정을 좌우하는 제일 중요한 판단은 그 종양이 양성(Benign)인지 악성(Malignant)인지 입니다. 어떤 종양이 악성이라면 그것을 악성종양(Malignancy)이라고 부릅니다. 그리고 악성종양이 바로 암입니다.
악성종양(Malignancy)는 발생하는 조직에 따라 종류를 나눌 수 있습니다. 대충 살펴보면, 피부, 위장관점막과 같이 몸이나 내장기관을 덮고 있는 상피세포에서 생긴 암종(Carcinoma), 뼈, 근육, 혈관, 지방 같은 결합조직에서 생긴 육종(Sarcoma), 혈액세포를 만드는 조직에서 생긴 백혈병(Leukemia), 면역세포에서 생긴 림프종(Lymphoma) 입니다.
이중에서 거의 대부분을 차지하는 것이 Carcinoma 입니다. 얼마나 대부분이냐하면 주요암 1위부터 9위까지가 전부 Carcinoma로 갑상선암, 위암, 대장암, 폐암, 유방암, 간암 등 이름이 알려진 암은 모두 Carcinoma입니다. 그래서 그런지 Malignancy 를 한글로 번역할때 그냥 ‘암’ 으로 번역해버리는 경우가 많습니다. 앞으로 다루게 될 내용도 별다른 언급이 없으면 Carcinoma에 대한 내용이라고 보시면 됩니다.
사실 양성과 악성은 모든 경우에서 확실하게 딱 나뉘어지는 것이 아닙니다. 지금은 악성이 아니지만 나중에 악성이 되는 경우도 있고(Malignant transformation), 양성처럼 활동할건지 악성처럼 활동할건지 애매한 경계성인(Borderline) 경우도 있습니다. 심지어 드물지만 양성이라도 전이를 하는 경우도 있습니다. 결국은 얼마나 악성 일지를 판단하는 것이 중요합니다.
그렇다면 ‘악성’이라는 것은 무엇을 의미하는 것 일까요?
미국국립암센터에서는 다음과 같이 정의합니다.
"A term for diseases in which abnormal cells divide without control and can invade nearby tissues. Malignant cells can also spread to other parts of the body through the blood and lymph systems."
https://www.cancer.gov/publications/dictionaries/cancer-terms?cdrid=45771
이 정의는 조절되지 않는 세포분열, 주변 조직으로 침입(침윤), 몸의 다른 부분으로 퍼짐(전이) 3 가지로 요약할 수 있습니다. 조절되지 않고 폭주하는 세포분열때문에 돌연변이가 많이 누적되고 그 결과 침윤과 전이 같은 특징을 가지는 암세포가 생겨나게 됩니다. 침윤과 전이 두가지는 암이 생명을 위협하는 질병이 되는 중요한 원인입니다.
조절되지 않는 세포분열
하나의 수정란이 신호에 따라 성장하고 분열하고 분화하기를 계속하면 한명의 사람이 됩니다. 태어난 이후에도 몸의 세포들은 성장과 분열을 통해서 우리의 몸을 유지합니다.
복잡한 그림이지만 간단하게 노란공이 외부의 신호 이고 그것을 받는 파란색 주걱이 수용체입니다. 그 밑의 복잡한 것들이 받아들인 신호를 처리하는 세포내부의 회로를 구성하고 있습니다.
정상인 상태에서 각 세포의 성장과 분열은 위의 그림과 같이 주변에서 오는 신호노란공를 받아서 조절됩니다. 주변에서 오는 신호는 세포표면의 수용체단백질주걱에서 받아서 세포내부로 전달합니다.(내부로 바로 들어가는 종류도 있긴합니다.) 암세포가 되면서 이런 수용체단백질 자체나 신호를 연결하는 복잡한 회로의 단백질에 변이가 생겨서 주변에서 오는 신호를 무시하고 계속 성장과 분열을 반복하게 됩니다.
그 결과 암세포는 마치 급발진하는 차량처럼 이러한 신호를 무시하게 됩니다. 자동차의 속도가 가속페달과 브레이크로 조절되는 것처럼, 세포의 성장도 촉진하는 신호와 억제하는 신호에 의해서 조절 됩니다. 급발진차량에서 가속페달을 밟지 않아도 RPM이 오르며 급가속이 되고 브레이크페달을 아무리 밟아도 듣지 않는 것처럼, 암세포도 성장촉진신호가 없어도 성장을 하고 성장억제신호가 가도 성장을 멈추지 않습니다.
그 결과 암세포는 계속해서 숫자가 늘게 되고 암세포의 덩어리는 계속해서 커지게 됩니다. 정상적인 세포들이 죽어없어지는 세포들의 자리를 메우게 되는 정도로 성장속도가 조절되는 것과는 반대로 말이죠.
침윤과 전이
우선 상피세포와 그 주변 구조에 대해서 알아봅시다.
출처: Wikimedia
우리 몸의 상피세포들은 여러 가지 단백질을 통해서 주변의 상피세포들과 붙어 층을 이루고 있습니다. 또한 기저막(Basement Membrane)이라는 얇은 막을 통해서 기질(Stroma)에 붙어있습니다. 기질은 혈관, 림프관 같은 관들과 신경이 지나가고 각종 섬유질이 있는 공간입니다. 상피세포층은 소화효소분비나 호르몬 분비등이 특수한 기능을 하는 조직이고 기질은 그 세포들에 영양을 공급하고 구조를 유지하는 역할을 합니다.
그림에선 두껍게 표시된 기저막을 실제로 보면 다음과 같습니다.
매우 얇은 붉은 선이 바로 기저막(Basement membrane)입니다.
출처 : By OpenStax Anatomy and PhysiologyOpenStax [CC BY 4.0 (http://creativecommons.org/licenses/by/4.0)], via Wikimedia Commons
상피세포들이 어떤 이유에서 암세포로 변이하고 이 암세포들이 기저막을 뚫고 원래 있던 자리를 벗어나 기질로 들어가는 것을 침윤이라고 합니다.
침윤이 일어나면 암세포들은 주변 조직으로 퍼지기 시작합니다.
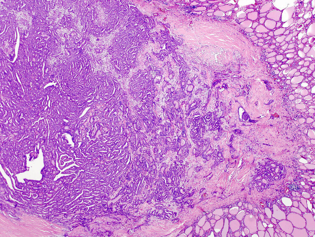
암세포의 종류에 따라 주변에 미치는 영향이 다르지만, 침윤이 일어나면 심한 경우 이렇게 됩니다.
출처 : By No machine-readable author provided. KGH assumed (based on copyright claims). [GFDL (http://www.gnu.org/copyleft/fdl.html) or CC-BY-SA-3.0 (http://creativecommons.org/licenses/by-sa/3.0/)], via Wikimedia Commons
위 쪽의 사진은 갑상선암의 사진입니다. 진한 보라색으로 보이는 부분이 암이고 주변의 정상조직을 파괴하고 있는 모습입니다. 오른쪽 아래와 위쪽 귀퉁이에 분홍색 논 처럼 보이는 것 들이 아직 남아있는 정상 갑상선조직입니다.
암인지 아닌지 현미경을 통해 판단을 내리는데 침윤의 유무는 매우 중요합니다. 다만 특이한 경우가 있는데, 암세포 라고 부를 수 있을 정도로 충분히 심한 변화가 일어난 세포들이 있지만 기저막을 뚫지 못하고 상피세포층 위에만 존재하는 경우를 상피내암(Carcinoma in situ) 라고 합니다. 이렇게 운좋게도 일찍 발견한 경우에는 침윤성 암 보다 상대적으로 치료가 간단하고 경과도 좋은 편입니다.
암세포가 주변 조직을 침윤하면서 혈관이나 림프관에도 들어갈 수 있습니다. 이렇게 관에 들어간 암세포는 혈액이나 림프액을 따라 온몸을 떠돌아 다닐 수 있습니다.
사진의 위쪽은 정상피부조직입니다. 그런데 아래쪽을 보시면 늘어난 혈관 안에 암세포가 있습니다.
암세포가 온몸을 떠돌아다니다가 다른 장기에서 다시 종양을 만드는 경우를 전이 라고 합니다. 대부분 모세혈관이 많은 간이나 폐에서 생기지만 암의 종류에 따라 선호(?)하는 장기가 있기도 합니다.
윗줄은 왼쪽부터 암이 자라서 주변 조직을 침윤하고 혈관에 침입해서 암세포가 들어가는 그림입니다.
그리고 아래줄은 혈관을 타고 돌아다니던 암세포가 적당한 위치에 자리잡고 다시 자라기 시작해서 전이가 일어난 그림입니다.
암종마다 병의 경과(예후)를 예측해서 단계을 나누어놓은 시스템이 있습니다. 흔히들 ‘병기’라고 하고 ‘암이 몇기다’라고 할때 그 단계입니다. 세부사항은 암의 종류나 부위마다 다르지만 한가지 공통적인 사항은 원격전이가 있으면 4기입니다. 제일 경과(예후)가 나쁠 것으로 예측되는 단계이지요.
침윤과 전이는 치료를 어렵게 하는 원인이기도 합니다.
만약 어떤 종양이 그자리에 가만히 있으면서 주변을 침범하지 않고 밀면서 커지기만 한다면 중요한 장기를 누르지 않는 이상 생명에는 지장이 없을 것 입니다. 떼어낼때도 감자를 캐어내듯이 비교적 쉽게 제거할 수 있을 것입니다.
그러나 종양을 구성하는 세포들이 주변 조직으로 잔뿌리를 내리듯이 퍼진다면 제거하기가 어려워져서 주변조직을 같이 떼어내어야합니다. 그렇게 많이 떼어내어도 암세포를 완전히 제거해 내지 못 할 수도 있습니다.
암세포의 침윤은 세포 단위로 일어나기 때문에 육안으로 쉽게 알아보기 어렵습니다. 그래서 보이는 병변보다 더 크게 장기를 절제하게 됩니다. 또한 림프절전이도 육안으로 판별하기 어려운 크기로 있을 수 있어서 주변의 림프절을 포함한 조직도 절제하게 됩니다.
그렇게 절제를 하고도 수술중에 현미경으로 관찰해서 암세포의 존재 유무를 평가하게 됩니다. (이 검사가 동결절편검사입니다. 이 검사에 대해서는 다른 포스팅에서 설명드리겠습니다.)
잔뿌리까지 모두 제거하려면....
출처가 따로 표시되지 않는 그림의 출처는 Shutterstock입니다.
이번에는 암세포의 가장 위험하고 중요한 특징에 대해서 알아보았습니다.
위에서도 말씀드렸듯이 암은 종류에 따라 특성이 다양할 뿐만 아니라 환자분에 따라 매우 다양한 상황이 일어날 수 있습니다. 따라서 상피세포암 위주로 일반적인 내용을 설명한 위의 내용은 개별적인 증례에는 잘 맞지 않을 수 있습니다.(백혈병이나 림프종만 보더라도 암세포가 발생하는 조직이 상피가 아닙니다.)
의학상담은 내몸과 병의 상태를 잘 아는 담당 주치의 선생님에게 받는 것이 좋습니다.
저는 이 내용이 여러분들이 앞으로 암과 관련된 내용을 접하실때 이해를 돕는 교양지식으로 활용될 수 있었으면 좋겠습니다.
추운 겨울 건강 조심하시고
즐거운 연휴 보내세요~










.jpg)




정말 감사합니다! 암이란 뭔지 알 수 있는 정말 좋은 설명이네요-
감사합니다ㅎㅎ
여전히 힘든 내용이지만 조금은 더 알게되었습니다. 좋은글 감사합니다.
감사합니다. 나름 쉽게 쓴다고 했는데 원래 관련된 내용이 좀 많다보니 생략한 부분이 많아서...
암이란 참 무서운 질병이죠
암에대해 잘 알아보는 시간이었네요 ^^
감사합니다. 암은 무서운 질병이지만인류가 암에 대해 아는 것이 많아지면서 차츰차츰 정복해가고 있습니다. 저도 많이 노력해 보겠습니다.
좋은 글 감사합니다! 저도 막연하게 암이다,,악성 종양이다,,라는 말만 들었지 암이 정확히 뭐고 어떤 건지 잘 몰랐는데 이렇게 친절하게 설명해주시니까 정말 머리에 쏙쏙 들어오는 느낌입니다. 글을 정말 잘쓰시는 것 같아요~!!
암은 정말 무섭고 특히 치료가 어려운 점이 정말 무섭네요 ㅠㅠ 지피지기면 백전백승이라고 이렇게 암에 대해 알고나니 막연했던 불안이 좀 가시는 것 같아요! 항상 좋은 글 감사드립니다:3
의대 교수님글도 이렇게 깔끔한 강의를 해주셨으면 좋겠네요 ㅎㅎ !!!!!
감사합니다ㅎㅎㅎ 교수님께서 저보단 더 잘 가르쳐 주실 수 있으실 겁니다. 다만 교수님은 한정된 수업시간동안 강의하셔야할 내용이 너무 많아서.. 교수님도 힘들고 학생들도 힘들고..ㅠㅠ
좋은 글 감사합니당 :)
감사합니다^^
도움 많이 됐습니다
도움이 되어 드릴 수 있어서 기쁩니다. 감사합니다.ㅎㅎ
wow very veru nice
Thank you~!!
반갑습니다~~^^
반갑습니다ㅎㅎㅎ
알기쉽게 설명해주셔서 머리에 쏙쏙 들어오네요. 암치료 원리도 알고 싶네요. 육안으로 확인이 가능한 부위는 외과적 수술로 제거한다고 할때, 확인이 불가능한 잔여 암세포들을 어떻게 다루는지나... 외과적 수술이 어려운 부위를 다루는 특별한 방법이 있는지 등이요. ㅎㅎ아! 그리고 정상세포가 암세포로 바뀌는 주요 원인/과정도 궁금합니다!
알려드리고 싶은 내용이 아주 많습니다.ㅎㅎㅎ 차차 시간을 내서 포스팅해보겠습니다.ㅎㅎㅎㅎ