[의학] 숨 참느라 죽겠다!! <검사 시 호흡 조절>
안녕하세요? @radiologist 입니다.
누구나 직장이나 학교에서 건강검진을 합니다. 필수 항목 중 하나가 흉부 X-ray 촬영 입니다.

한 번 기억을 더듬어 보시면 촬영 할 때 항상 이 말을 들으십니다.
(촬영 직전) “숨 들이마시고, 참으세요”
(촬영 후) “숨 쉬세요”
왜 검사할 때 숨을 참아야 할까요?
X-ray
주로 흉부, 복부 촬영일 경우 호흡 조절이 필요합니다. X-ray는 수 초 내 금방 촬영하기 때문에 숨 참는 것이 그리 힘들지 않습니다.
흉부 X-ray
흉부 X-ray 촬영 시 왜 숨을 최대한 들이마시고 참아야 할까요?

폐는 폐포(alveola)와 안의 공기, 각종 혈관, 간질 조직으로 구성된다.
폐는 일종의 공기 주머니(폐포의 집합)라고 할 수 있습니다. 이 공기 주머니에는 정상적으로 혈관과 기도, 간질 조직(interstitial structure, 각 조직 사이에 존재하는 구조물) 등이 있습니다. 폐에 병변(이상소견)이 생기면, 정상 구조물에서 생기고 함께 존재합니다.
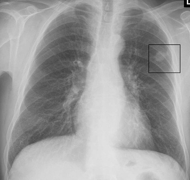
X-ray에서는 공기는 검게, 다른 정상 조직 및 병변은 하얗게 보이는데요, 일차적으로 공기와 공기 아닌 것을 구분 짓고, 공기 아닌 것이 정상 구조물이냐, 병변이냐 해석하는 것이 판독(interpretation)입니다.

좌상엽에 증가된 동그란 음영(폐암)이 있다. 병변은 대개 주변 폐(검은색)에 비해 하얗다.
만약 공기 주머니가 쪼그라들어 있으면 (숨을 내쉰 상태) 병변과 정상 구조물이 빽빽하게 혼재되고, 병변을 구분하기 힘듭니다. 그런데 공기 주머니가 완전히 팽창 되면 (숨을 들이쉰 상태) 병변과 정상 구조물 간의 구분이 수월해집니다. 의미는 조금 다르지만, 마치 우주 팽창 모델에서 사용하는 풍선과 비슷합니다. 쪼그라든 풍선에서는 아무것도 구분이 안되지요.

풍선이 쪼그라들면 아무것도 구분이 안된다.
또 다른 이유는, 움직임을 줄이기 위함입니다. X-ray의 촬영 시간은 아주 짧습니다. 정지된 짧은 순간의 정보를 이미지화 시키는 것인데요, 만약 움직임이 생기면 영상의 흐려집니다. 사진을 찍을 때, 가만히 서서 찍는 것과 달리면서 찍을 때 어떤 사진이 더 선명할까요? 움직임이 생기면 이미지가 흐려질 수 있는데, 이를 motion artifact라고 합니다. 숨을 들이 마신 상태에서 참으면 움직임이 사라지고, 선명한 이미지를 얻을 수 있습니다.

움직이는 사람을 찍으면 흐려져서 구분이 안되듯이, 영상 검사도 마찬가지다.
특수한 경우로, 숨을 내쉬고 찍는 경우도 있습니다. 주로 기흉(pneumothorax)이나 기도 내 이물질을 판단하기 위해 촬영 하는 경우가 있습니다(루틴하게 찍는 것은 아니고 긴가민가 할 때 추가 검사입니다). 기흉은 내쉬고 찍으면 폐가 더욱더 쪼그라들어 흉강내 공기 유무를 정확히 판단 가능합니다. 기도 내 이물질인 경우 정상적으로 쪼그라들어야 하는 폐가 기도내 이물이 공기 흐름을 막으면서 쪼그라들지 않아 진단 할 수 있습니다. 하지만 흔히 촬영하지는 않습니다.
cf.) 기흉이란? 3-3 흉통에 대해서 알아보자!! - 기흉 편

왼쪽과 오른쪽 X-ray 비교시 좌폐는 호기시 용적이 감소하고 음영이 증가하지만,
우폐는 호기시에도 용적 변화가 없고 여전히 검다.
우폐 기관지에 이물이 있어 공기 흐름이 막힌다.
폐를 팽창 시키고, 움직임을 줄이기 위해 들이 마시고 참는다.
복부 X-ray
복부 X-ray는 촬영 시 숨을 내쉬고 참습니다. 참는 것은 motion artifact를 줄이기 위함인데 왜 하필 내쉬고 참을까요?
흉부와 복부를 구분 짓는 구조물은 무엇일까요? 횡격막(diaphragm)입니다. 숨을 들이쉬면 횡격막이 아래로 이동하고, 내쉬면 위로 올라옵니다. 숨을 들이쉬면 횡격막이 복부를 위에서 누르게 됩니다. 아무래도 장을 비롯한 복부 장기들이 눌릴 수 있고, 눌린 장기를 평가하는 것은 제한이 있습니다. 숨을 내쉬고 외력이 없는 상태의 복부 장기를 평가 해야 정확한 병변 판단이 가능합니다.

숨을 들이 마시면 횡격막이 내려가면서 복부를 압박하고,
내쉬면 횡격막이 올라오면서 압박이 줄어든다.
특히 복부 X-ray에서는 간, 췌장, 비장, 신장 등과 같은 고형 장기 (solid organ)보다는 장내 공기 (bowel gas)를 평가하는데 이점이 있기 때문에, 압력이 없는 상태의 장내 공기 패턴을 평가하는 것이 중요합니다.

정상 복부 X-ray. 장내 가스는 검게 보인다.
복부 장기에 외력을 줄이고 움직임을 줄이기 위해 내쉬고 참는다.
CT
X-ray와 마찬가지로 주로 흉/복부를 커버하는 CT에서는 호흡 조절이 필요합니다. X-ray 보다는 촬영 시간이 조금 길지만, 보통 한번 촬영에 길어도 10-20초내에 촬영이 되기 때문에 (조영 한다면 조영 전과 후로 찍습니다), 숨 참는 것이 어렵지 않습니다.
흉부 CT
흉부 CT는 일반적으로 흉부 X-ray의 호흡 조절과 거의 같습니다. 폐를 팽창시키고, 움직임을 줄이기 위해 들이 마시고 참게 됩니다. 숨을 충분히 들이마시지 않는다면 병변이 맞는지 아닌지, 병변이 여러 개 인지 하나인지, 크기는 얼마인지 (암 반응 평가에 중요합니다) 판단하기에 어려움이 있습니다.

좌측은 충분히 들이 마시고 참지 않아 결절들이 흐릿하게 보여 평가가 안된다.
우측은 충분히 들이 마시고 찍어 결절들이 잘 구분된다.
흉부 X-ray와 마찬가지로 어떤 경우는 내쉬고 촬영하기도 합니다. 주로 기도(airway) 병변이 있을 때 시행합니다. 정상적으로 내쉬고 찍으면 폐의 부피가 줄어들고, 공기 양이 줄면서 폐 실질이 들이쉴 때 보다 약간 하얗게 됩니다. 그런데 기도 병변이 있으면 폐의 부피가 줄어들지 않고, 공기가 빠져 나가지 않으면서 정상 부위에 비해 검게 보입니다. 이를 air trapping(공기걸림, 공기잡이)이라고 칭하고, 기도 병변을 나타내는 소견입니다. 주로 기관지확장증, 폐기종, 기도내 이물 등이 대표적입니다. 그 외에도 기관-기관지연화증(tracheobronchomalacia)에서 내쉬고 찍은 CT상 기도의 직경이 감소 하는 것을 확인 할 수 있습니다.

세기관지염 환자. 좌측 흡기 후 CT에서도 약간의 air trapping 이 보이긴 하나,
우측 호기 후 CT에서는 검게 보이는 air trapping이 명확히 보인다.
일반적으로 들이 마시고 참고 찍지만, 특수한 경우 내쉬고 참고 촬영 하기도 한다.
나머지 CT들 (복부 및 복부 대동맥 CT 등)
대부분의 병원에서 들이 마신 뒤 참고 촬영 하는 것이 프로토콜 입니다. 이런 CT에서는 폐 일부가 포함 되는데, 들이 쉬고 찍으면 커버 된 폐 부위 평가에 도움이 됩니다. 마찬가지로 숨을 멈추기 때문에 움직임에 의한 이미지 질 저하가 없습니다. 일반적으로 관절이나 허리 등 호흡과 관계 없는 부위의 CT는 호흡과는 관련이 없습니다.
초음파
복부 초음파
아마 복부 초음파를 하신 분들은 숨을 들이쉬고 참는 것을 많이 해보셨을 것입니다. 원리는 역시 횡격막에 있습니다. 숨을 들이 마시지 않으면, 복부의 장기가 늑골 아래로 내려오지 않아, 초음파를 하는데 어려움이 있습니다. 숨을 충분히 들이마시고 참으면 복부의 장기가 늑골 아래로 내려와서 원활하게 초음파를 할 수 있습니다. 특히 숨을 들이 마실 때 배를 볼록하게 내밀어서, 복식호흡을 해주시면 검사가 한결 편합니다.

흉강과 복강을 나누는 횡격막.
들이 마시고 횡격막이 아래로 가야 복부 장기가 늑골 아래로 간다.
각종 시술
복부내 장기에 대한 초음파 유도하 조직생검이나, 흉수 배액술, 복부 장기에 대한 카테터 삽입, 간암 RFA/TACE 등 흉/복부에 대한 시술이 있을 수 있습니다. 복부 장기는 보통 호흡에 따라 위아래로 움직입니다. 호흡으로 인해 목표한 장기가 움직이면 시술에 실패하거나 위험해질 수 있습니다. 경우에 따라 들이 마시고 참기도, 내쉬고 참기도 합니다.
결론
검사를 할 때 숨을 참는 이유는 결국 좋은 이미지를 얻기 위함입니다. 좋은 이미지를 얻어야 많은 정보를 얻을 수 있고 진단과 치료에 도움이 됩니다. 특히 시술을 할 때는 호흡을 조절하지 않으면 장기가 움직이기 때문에 시술하는 데 어려움이 있을 수 있습니다. 모쪼록 검사 하실 때 조금이나마 이해가 되었기를 바라며 글을 마칩니다.

검사를 할 때 호흡 지시를 잘 따라주시면 큰 도움이 됩니다!!
그러면 시간도 오래 걸리는 MRI는 호흡을 어떻게? 다음 포스팅에서.
Reference
- Alexander A. Bankier et al. Quality Initiatives Respiratory Instructions for CT Examinations of the Lungs: A Hands-on Guide. RadioGraphics 2008; 28:919–931.
- Navid Dehghani et al. Aspirated foreign bodies in children: BC Children’s Hospital emergency room protocol. BC Medical Journal Vol. 50 No. 5, June 2008.

앗..ㅎㅎ 제가 매일 검사하는것들이지만
다시한번 상기시켜주는 아주 좋은 포스팅입니다👍👍 잠꼬대로 숨들여마시고 숨참으세요~~
이럴정도로 많이한답니다 ㅜㅜ
워낙 흉부 X-ray는 케이스가 많아서 기계처럼 찍게 되는 것 같습니다 ㅠㅠ
그래도 그 노고 덕분에 영상의학과 의사도, 환자도 모두 큰 도움을 받습니다^^
기흉은 숨을 내쉬고찍는군요... 저는 처음걸렸을때 심했던상태라 그냥 찍었는데도 많이찌그러졌다고하시던ㅋㅋ
보통은 일반적으로 들이 마시고 찍습니다 ^^
기흉도 들이 마시고 찍었는데 잘 보이면 굳이 다시 찍을 필요는 없습니다.
내쉬고 찍는 것은 좀 긴가민가 할 때 도움이 되는 정도입니다~
팔로우 하겠습니다 !
그렇군요.. 감사합니다
그냥 단순히 장기의 움직임을 최소화하기 위해서 그렇게 찍는줄 알았는데 더 복잡한 이유들이 있군요 역시ㅎㅎ
네~ 단순히 움직임만을 중요시한다면 굳이 들이마시고 내쉬고가 상관 없이 호흡 중지만 하면 되는데, 그게 아닌걸 보면 이유가 있었지요~
이런 비밀이 있었군요 ㅎ 기흉걸렸었는데 숨을 내쉬라는 얘기를 들었었는지는 기억이 잘 안나네요 ㅋㅋ
네 ㅎㅎ 모든 것에는 이유가 있지요~ 잘따라 주시면 큰 도움이 된답니다.
팔로우 하겠습니다 ^^
재미있는 글 감사합니다
감사합니다~!!