[치과정보]사랑니는 꼭 뽑아야 하나요? -2nd

안녕하세요, @smtpo38입니다.
‘사랑니는 꼭 뽑아야 하나요?’에 이은 포스팅입니다.
지난번 사랑니에 대한 글이 너무 길어져서 다른 중요한 이야기들을 하지 못했습니다.
너무 아쉬워서 하나 더 쓰게되었습니다.
이번에는 사랑니를 뽑았을 때 발생할 수 있는 합병증들에 대해서 이야기 할까합니다.
치료를 받고 아무 문제 없이 지나간다면 얼마나 좋겠습니까마는… 필연적으로 발생할 수 있는 문제들입니다.
사랑니를 뽑기 전에 어느 정도 지식은 가지고 있는 게 좋겠죠?!
아래턱의 사랑니를 뽑을 때 항상 걱정되는 부분이 있습니다.
바로 하치조신경의 손상입니다.
아래 사진에서 빨간 화살표로 표시한 흰 줄이 두 개 보이시죠?

아래턱을 지나가는 터널 같은 구조입니다.
이것을 하악관(Mandibular canal)이라고 합니다.
하악관은 계란껍질 만한 두께를 가진 벽이 있습니다.
이 하악관으로 입술, 아래턱의 피부, 잇몸의 감각을 담당하는 신경(하치조신경, Inferior alveolar nerve)이 지나갑니다.
그리고 치아와 아래턱에 혈액을 공급하는 큰 혈관도 지나가죠.
사랑니를 뽑을 때 신경을 직접적으로 손상시키는 일은 거의 없다고 보면 됩니다.
하지만 하악관 골벽의 손상이나, 출혈로 인한 신경조직에 대한 압박, 자극이 신경손상을 발생시킵니다.
이때는 신경이 분포해 있는 부위에 감각이상이나 감각저하가 발생할 수 있습니다.
감각이상이라고 하면 보통… 다리 져릴 때의 느낌이 입술과 아래턱 주변으로 계속 있다고 생각하면 됩니다. 상상하는 것만으로도 매우 불편하죠.
감각저하는 해당부위에 감각이 둔해지거나 심하면 없어지는 경우 입니다.
예를 들어 식사할 때 입술에 음식이 붙으면 우리는 알고 떼잖아요?! 그런데 잘 모릅니다.(아….이런ㅠ)
또는 컵으로 물을 마실 때 입 주변으로 흐르면 알고 닦잖아요?! 그런데 잘 모릅니다. 물이 흐르는데도 모르는 안타까운 상황이 발생할 수 있습니다.
이런 신경손상이 발생 할 확률은 연구마다 차이가 있지만 보통 3~4%라고 합니다.
(개인적으로는 이것보다는 더 적은 것 같습니다. 운이 좋았던 걸로 생각하고 항상 감사하게 생각합니다.)
그럼 만약 손상이 되면 돌아오지 않나요?
그렇진 않습니다. 보통은 6주~6개월 안에 회복됩니다. 그런데 이 기간을 넘어서 회복되지 않을 경우는 돌아올 가능성이 상당히 줄어듭니다.
신경 손상이 매우 걱정되는 합병증이지만 예측하기는 쉽지 않습니다.
신경관과 사랑니의 사이의 거리, 뿌리의 형태, 맹출 방향들을 참고 할 수 있지만, 이것만으로 100% 예상하기는 어렵습니다.
아무런 문제가 없어 보이는 경우에서도 신경손상이 발생하기도 하고… 이건 여러 연구에서도 같은 견해를 가지는 부분이기에…
무섭게 느끼셨다면 너무 걱정하지는 마시되, 병원에서 잘 설명을 듣고 심사숙고해서 사랑니를 뽑을지 결정하시기 바랍니다.
아이러니한게… 꼭 뽑아야 하는 사랑니지만 이런 문제로 인해서 고민을 하게 됩니다.
하지만 ‘구더기 무서워서 장 못 담글까’ 라는 말처럼, 위험을 감수하더라도 사랑니는 뽑는게 맞다고 생각합니다.
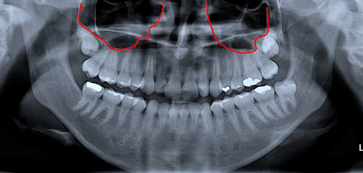
위턱에 있는 사랑니를 뽑을 때도 합병증이 있을 수 있습니다.
바로 상악동 천공입니다.
방사선 사진에서 표시해둔 부분이 상악동이라는 공기 주머니 입니다.

상악동은 코(nasal cavity)와 연결되어있습니다.
두개골의 중량감소, 목소리의 울림부여, 호흡된 흡기의 습도 증가, 흡기 중 발생된 내압의 차이를 감소시키는 등의 기능이 있습니다. 각설하고…
위턱의 사랑니와 상악동 사이의 뼈가 얇은 경우가 대부분이기 때문에, 사랑니를 뽑을 때 상악동의 뼈와 점막이 같이 제거되면서 입안과 상악동이 연결되는 경우가 생깁니다.
이것을 ‘상악동 천공’이라고 합니다.
코와 상악동은 연결되있다 보니, 상악동 천공이 발생하면 입안과 코가 연결된 것과도 같아집니다.
그래서 사랑니를 뽑고 난 후 코피가 나거나, 물을 마실 때 코로 물이 나오기도 합니다.
상악동 천공이 발생하면 치과 선생님께서 미리 인지하고 설명해주실 테니 너무 놀라시진 않을 겁니다.
다행히 상악동 천공이 발생하더라도 1~2주정도 지나면 자연스럽게 상악동 점막이 회복되면서 정상으로 돌아옵니다. 그 동안 빨대를 사용하지 말아야하고, 침 뱉지말고, 입을 막고 재채기를 하면 안 되는 등의 주의사항이 필요합니다.
드물게 점막이 회복되지 않은 경우가 있으니, 물을 마실 때 계속 코로 물이 나온다면 치과로 빨리 가셔야겠습니다.
그 외의 술 후 감염이나 출혈, 통증 등은 어느 정도 예상할 수 있는 합병증이겠습니다.
사랑니를 뽑고 나면 얼마나 아프냐고 많이들 물어보십니다.
사랑니를 뽑을 동안은 마취가 되어있으니 불편하겠지만 아프지는 않습니다.
단지 사랑니를 뽑고 마취가 풀린 후가 가장 아프긴합니다. 하지만 통상적으로 1~2일 정도 지나면 통증은 충분히 줄어들테고 불편한 것도 1주일이면 없어질 겁니다. 위턱의 사랑니는 더욱 빠르게 회복될 테니 큰 걱정 안 하셔도 됩니다.
사랑니를 뽑고 나서는 치아가 있는 부위는 깨끗하게 칫솔질하고, 뽑은 자리는 음식물이 끼지 않게 물로 가글을 살살하는게 가장 좋습니다.
치아를 뽑은 자리는 약3개월에 걸쳐 천천히 일부가 뼈로 차게 됩니다.
사랑니 앞에 있던 치아는 뿌리 뒷부분이 조금 드러나게 되므로 시릴 수 있으나 시간이 지나면 서서히 줄어들 테니 너무 걱정하지 마세요.
지금까지 사랑니를 뽑고 난 후 발생할 수 있는 합병증들을 살펴보았습니다.
노파심에 이것저것 말씀드리려고 하다보니... 길어졌네요.
겁이 나거나 두려워서 사랑니를 뽑기 싫었다면... 용기내서 치과에 가보시기 바랍니다~!
감사합니다.
<이전 포스팅>
[왜 칫솔질을 할 때 잇몸에서 피가 날까요?]
[스케일링을 했더니 잇몸이 망가졌어요...!?]
[치아의 구조를 알아봅시다!]
[왜 치아가 시릴까요?]
[나에게 알맞은 칫솔질 방법은 무엇일까요?]
[전동칫솔이 일반칫솔 보다 우수하나요?]
[구강관리보조용품을 알아보자!]
[탄산수를 마시고 칫솔질을 해야하나요?]
[사랑니는 꼭 뽑아야 하나요?]

저 사랑니 뽑으려고 치과 갔다가 같은 경고 들었었어요 신경이 손상 될 수도 있다고... 그 말 듣고 무서워서 못 뽑았네요... ㅠㅠ 하지만 뽑는 게 맞다고 하시니 다시 가야할까봐요
네, 용기내서 결단하시기 바랍니다~!
요즘 치과때문에 고민 중인데, 좋은 글 잘 읽고 갑니다!
감사합니다^^
으아앙 상악동 천공은 처음 들어보는데 너무 무섭네요! 아무리 회복된다지만... 입에 빵꾸가! ㅠㅠ
참 생소한 이야기지요?! 잘 회복되는 문제라서 다행입니다 ㅎ
유익한 정보 감사합니다. 사랑니!! 딜레마네요.. ㅠ.ㅠ
스팀잇 의학매거진이라....
이런 좋은 정보도 있네요...
감사. 감사 팔로우합니다
사랑니를 아직 뽑지 않았는데, 두려움이 조금은 사라지게 되었네요!! 감사합니다!! 어렸을 때 부터 치과를 너무 많이 가서 몇백 쓴 사람이라 이에는 민감하네요 ㅠㅠ
Congratulations @smtop38! You received a personal award!
Click here to view your Board of Honor
Congratulations @smtop38! You received a personal award!
You can view your badges on your Steem Board and compare to others on the Steem Ranking
Vote for @Steemitboard as a witness to get one more award and increased upvotes!