STEM CELL,,,,,EVERYTHING YOU NEED TO KNOW ABOUT IT.
Exactly 3 years ago, a British Professor was Invited To my School, from Durham University, to present a presentation on "STEM CELL", in person of Prof. Christopher Francis Higgins (BSc, PhD,FRSE,FRSA & FmedSci ). Though I wasn't attentive while the presentation was going on, But I over heard one thing from Prof. Higgins that Stem cell can be use to elongate life, repair damage cells and bring back the dead to life.
Can stem cell be use to bring back the dead to life for real??? I couldn't believe it, which made me to go about researching on stem cell myself, inwhich I will be sharing the result of my research with everyone, Stay attentive.
Professor higgins pictures. Now to my own research on stem cell.
WHAT IS A STEM CELL?
A stem cell is a cell with the unique ability to develop into specialised cell types in the body. In the future they may be used to replace cells and tissues that have been damaged or lost due to disease.
*Our body is made up of many different types of cell.
*Most cells are specialised to perform particular
functions, such as that carry oxygen around our bodies in the blood, but they
are unable to divide.
*Stem cells provide new cells for the body as
it grows, and replace specialised cells that are
damaged or lost. They have two unique properties that enable them to do this:
.They can divide over and over again to
produce new cells.
.As they divide, they can change into
the other types of cell that make up the body.
Majorly, stem cells came from three main sources.
Embryonic stem cells
Adult stem cells
Induced pluripotent stem cells
EMBRYONIC STEM CELLS
Embryonic stem cells are derived from a four- or five-day-old human embryo that is in the blastocyst phase of development. The embryos
are usually extras that have been created in IVF (in vitro fertilization) clinics where several eggs are fertilized in a test tube, but only one is implanted into a woman.
Sexual reproduction begins when a male's sperm fertilizes a female's ovum (egg) to form a single cell called a zygote. The single zygote cell
then begins a series of divisions, forming 2, 4, 8, 16 cells, etc. After four to six days - before implantation in the uterus - this mass of cells
is called a blastocyst. The blastocyst consists of an inner cell mass (embryoblast) and an outer cell mass (trophoblast). The outer cell
mass becomes part of the placenta, and the inner cell mass is the group of cells that will differentiate to become all the structures of an
adult organism. This latter mass is the source of embryonic stem cells - totipotent cells (cells with total potential to develop into any cell in the
body).
In a normal pregnancy, the blastocyst stage continues until implantation of the embryo in the uterus, at which point the embryo is
referred to as a fetus. This usually occurs by the end of the 10th week of gestation after all major organs of the body have been created.
ADULT STEM CELLS
*Adult stem cells supply new cells as an organism grows and to replace cells that get damaged.
*Adult stem cells are said to be multipotent, which means they can only change into some cells in the body, not any cell, for example:
.Blood (or 'haematopoietic') stem cells can only
replace the various types of cells in the blood.
.Skin (or 'epithelial') stem cells provide the
different types of cells that make up our skin
and hair.
INDUCED PLURIPOTENT STEM CELLS
*Induced pluripotent stem cells, or ‘iPS cells’, are stem cells that scientists make in the laboratory.
*‘Induced’ means that they are made in the lab by taking normal adult cells, like skin or blood cells, and reprogramming them to become stem cells.
*Just like embryonic stem cells, they are pluripotent so they can develop into any cell type.
A scientist working on induced pluripotent stem cells.
STEM CELL CULTURES
Stem cells are either extracted from adult tissue or from a dividing zygote in a culture dish. Once extracted, scientists place the cells in a
controlled culture that prohibits them from further specializing or differentiating but usually allows them to divide and replicate. The
process of growing large numbers of embryonic stem cells has been easier than growing large numbers of adult stem cells, but progress is
being made for both cell types.
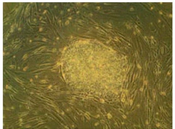
Human Embryonic stem cell culture
USES OF STEM CELL
1.RESEARCH : to help in understanding the basic
biology of how living things work and what
happens in different types of cell during
disease.
*to understand how our bodies grow and develop
*to find ways of using stem cells to replace cells
or that have been damaged or lost.
*We can use stem cells to study how cells become specialised for specific functions in the body, and what happens when this process goes wrong in disease.
2.THERAPY : to replace lost or damaged cells that our bodies can’t replace naturally.
Stem cells could be used to generate new organs for use in transplants:
*Currently, damaged organs can be replaced by
obtaining healthy organs from a donor,
however donated organs may be 'rejected' by
the body as the immune system sees it as
something that is foreign.
*Induced pluripotent stem cells generated from
the patient themselves could be used to grow
new organs that would have a lower risk of
being rejected.
In my next Article, I will explain stem cell from every other perspectives...Your comment will be highly welcome.