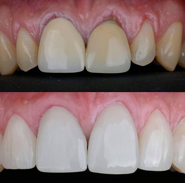
Dental veneers
Greetings to the entire steemit community.
I will write about something that I love and my passion is dentistry, that wonderful world where we help to build smiles.
My post dental veneers
What is that? How does it work? In what benefits? How and who installs them? And who can do it?
Source
https://instagram.com/p/Bd2X7eRDVCU/
What is a dental veneer?
A ceramic veneer consists of a porcelain sheet that partially covers a tooth, by way of veneer, to which it is attached by means of mechanical-mechanical adhesives after enamel etching. The adhesion of the porcelain veneers to the tooth.
[source] :(http://www.medigraphic.com/pdfs/adm/od-2011/od116k.pdf)
source
How are veneers worked?
They are like a very thin layer, which would be adhered to the surface of the teeth by a cement or special resin; Have you ever had false nails, or have you seen how they are? Well, something like that! They were designed to improve the visible face of the tooth. Therefore, they are an aesthetic treatment, which should be discarded in case there are other oral problems, since the veneers would not solve them.
Source:
based on some writings and experiences.
Benefits
Dental veneers can be used in all these cases: covering broken or damaged teeth with the passage of time and interdental spaces; correct forms (if one tooth is too short or is misaligned with the rest); enlarge (solve those cases in which the teeth are very small), among others.
Where to do it?
Only installed by dentists or specialist.
It depends on the type of veneers they are. In the market there are, above all, two types.
- Conventional: cheaper, are usually made of composite (synthetic resin), which is necessary to work and mold them on the tooth. As it is necessary to carve the tooth, anesthesia is used. First there are provisional ones and then other thicker ones, to replace the dental structure that has been eliminated. They are usually placed one by one, so the time is longer.
[source] :
https://instagram.com/p/BDCA3NInZul/
- Patented by clinics: For these you do not need carving or temporary veneers. Also, they do not damage the enamel or the gums. In one session they are fixed, without the need for anesthesia, as they do not cause pain. They can be placed using a splint that allows you to place up to ten veneers at a time.
You will ask, can I do it?
Well, if Dental veneers can be placed at any age, as long as you have permanent dentition. And they do not cause any damage to the tooth (they are placed on its surface without the need to carve it). Of course, you have to go to professionals and always look for references of treatments, because there are many. And they can be removed when we want, without problem.
[source]
(https://www.miarevista.es/belleza/articulo/carillas-dentales-pros-y-contras-941431591354)
I hope you like my post, I accept suggestions
To see more images and videos
https://instagram.com/p/Bd2RtiiFJYK/


Thats so kind of you
Wow this is a great post... Thanks @idma
Congratulations @idma! You have completed some achievement on Steemit and have been rewarded with new badge(s) :
Click on any badge to view your own Board of Honor on SteemitBoard.
For more information about SteemitBoard, click here
If you no longer want to receive notifications, reply to this comment with the word
STOPI love the information that you provide in the Write up thanks for sharing it with me and others as well ! Teeth are very important ! with out them you might now get to eat what you want :)
I might need some these once I made my steem million. Check or comment my blogs to inspire future writings. I take a little or a lot from everything and one.
Regards Dave.
Good work and profession..
I follow u plss follow me n upvote my post.