SMOKING AND TOBACCO AFFECTED OUR HEALTH

SMOKING are known to cause of CANCERS,
TAR sticks inside the our lungs,CHEMICALS in CIGARETTE.
TAR and NICOTINE working to gather causes of the DISEASES.
so many diseases we invitation our body from the smoking -some most worst diseases smoking causes-- throat cancer,chronic obstructive pulmonary diseases ,

brain stroke, asthma, affects reproductive in the women,premature low birth weight babies,diabetes,blindness,colon ,cervix,liver stomach and pancreatic,basically,all the cancer,mouth cancer, blood cancer,bronchitis,heart disease, etc.
smoking affect our RESPIRATORY system .
.jpg)
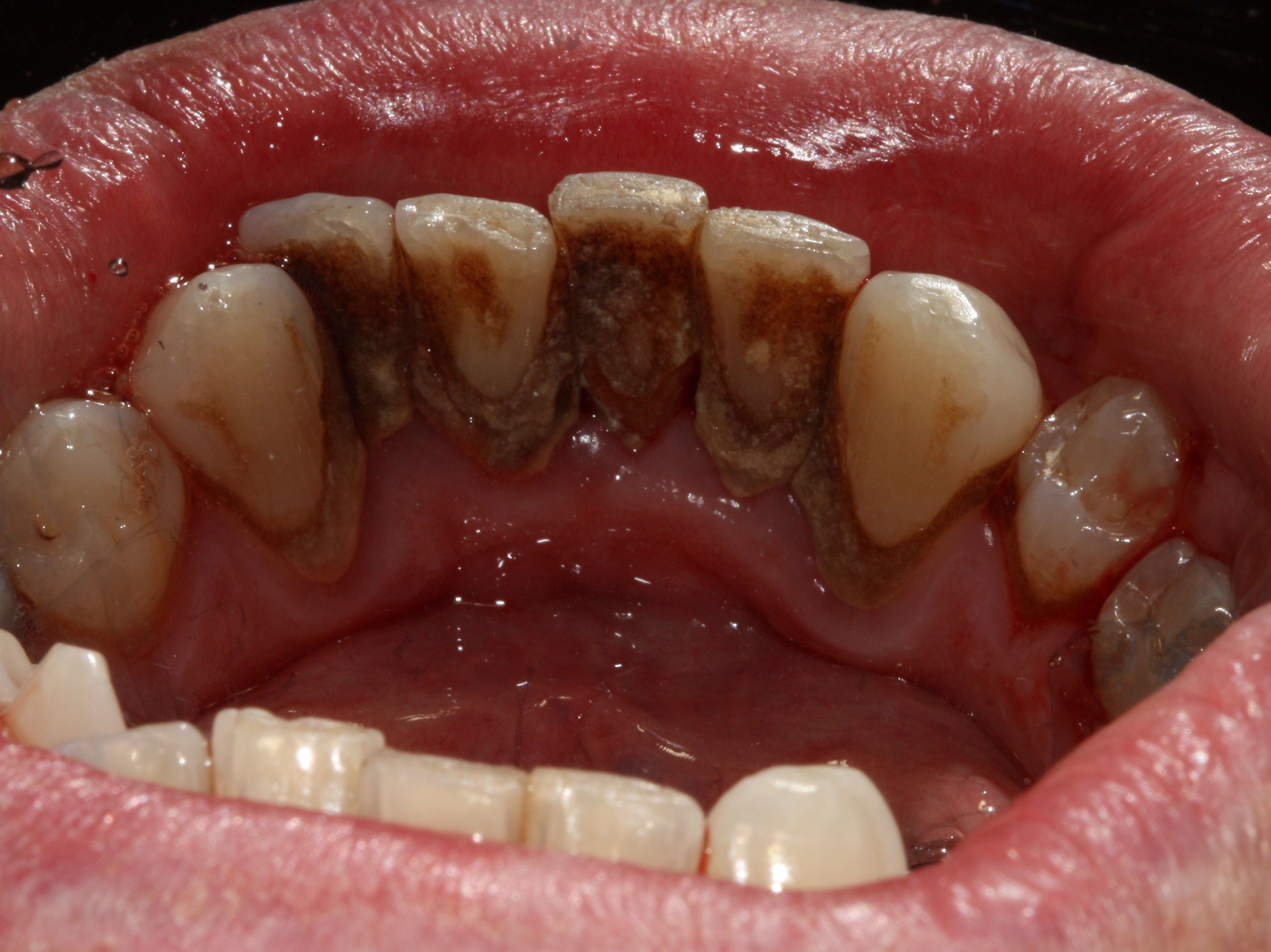
HEALTH EFFECTS OF TOBACCO -loose tooth,gum diseases,sparting teeth,that have moved position and become spaced because of gum disease.

smoke contains chemicals called CARCIHOGENIC that davelopment of CANCER CELLS in the our body .
SMOKING is single most perivenular death.

tobacco smoker addicted to the nicotine inside that damage throat and voice box .
carbon monoxide contains in the cigarette smoke that displaces the oxygen in your skin and reduces the blood flow then our skin discolored and dry,

smoke also dis plates many nutrients and vitamin c.
nicotine is a drugs that affects many parts of our body .change our brain.
poisonous chemicals in the tobacco cause lot of diseases .
it make more difficult move to blood around in the body and brain ,
-ll.jpg)
smoker fill all time tired.smoking irritation of the trachea, wind pipe and reduced our lung function.due to swelling and narrowing of the lung airway and access mucus in the lung passage fell breathlessness.if you chewing tobacco or by inhaling nicotine takes only few sceonds to get your brain acts as a stimulant and increases heart rate and breathing,
loss of memory. loss of vision dry eye syndrome .


smoking is more dangers you can have serious problems- it change your digestive system ,stomach (peptic),heart burn liver problem.

they actually kill you . soma effects all of your body smoking will kill you but before you die it
.jpg)
Good post