Un mes lejos de lo que me gusta /A month away from what I like

in #steemgigs8 years ago (edited)

Hola de nuevo amigos de steemit , es un placer volver nuevamente a mostrarles mi arte y mi estilo de vida.

Como se pueden dar cuenta estuve fuera de servicio por un mes o mas ,debido a una operacion de las 4 cordales , fui internada al quirofano para la realizar la respectiva cirugia para extraerlas .

Hello again friends of steemit, it is a pleasure to come back to show you my art and my lifestyle. As you can tell I was out of service for a month or more, due to an operation of the 4 wisdom teeth, I was admitted to the operating room to perform the respective surgery to remove them.

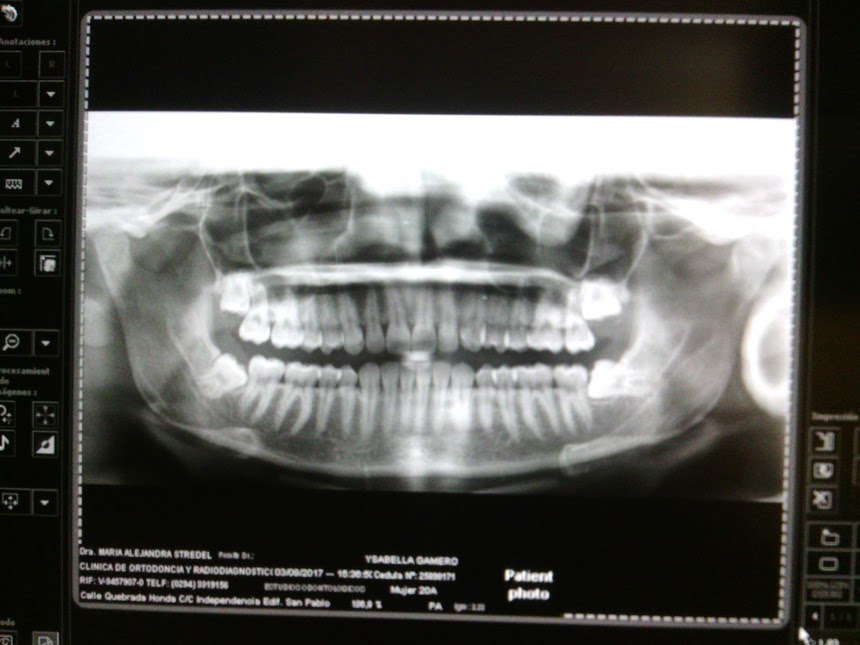
Aqui les mostrare la panoramica de mi boca y lo dificil que estaban de extraer .

y debido a la gran manipulacion que tuvieron que hacer el doctor la recuperacion fue tediosa y durante un buen tiempo.

Here I will show you the panoramas of my mouth and how difficult they were to extract.

and due to the great manipulation that the doctor had to do the recovery was tedious and for a good time.

Panoramica

-Comenta, upvote, resteem -Cuenta: @ysabellagf

Coin Marketplace

STEEM 0.06
TRX 0.31
JST 0.060
BTC 71307.64
ETH 2164.66
USDT 1.00
SBD 0.50