Introduction à la radiologie
La médecine évolue depuis longtemps, mais ce n'est que "récemment" que nous avons les capacités de voir à l 'intérieur du corps sans l'ouvrir.
L'imagerie médicale est très complexe ! Aujourd'hui je vous propose de découvrir un milieu assez compliqué, la radiologie.
C'est en 1895 que Wilhem Conrad fait la découverte des rayons X. Ce physicien allemand a fait des expérimentations sur différents objets, choses, etc...C'est ainsi qu' il a observé que les objets absorbaient plus ou moins les rayons. A cette époque, ce phénomène reste encore mystérieux et n'était pas encore testé sur l'homme.
Le principe de la radiologie
les rayons X vont en ligne droite mais en traversant le corps, il y a des divergences, les rayons sont déviés et vont dans tous les sens. Le cliché obtenu est alors grisé, "flou".
Pour focaliser les rayons, on utilise une grille anti-diffusante. Cela permet d'améliorer la qualité de l'image en filtrant les rayons divergents, et de focaliser ces rayons afin qu'ils n'aillent pas dans tous les sens.
Pour simplifier la situation voilà comment se forme l'image en radiologie :
- Tube à rayons X
- production de rayons
- ces rayons traversent le corps
- passage par la grille anti-diffusante
- réception des rayons X dans les chambres d'ionisation
- support captant les signaux (avant c'était des films comme pour la photographie, aujourd'hui ce sont des supports numériques)
(Cette image est issue de mon cours de médecine)
Les rayons X sont absorbés plus ou moins fort selon plusieurs paramètres. Cela varie en fonction de :
- épaisseur de l'objet (ou organe)
- nombre atomique de ses composants
- densité physique du corps
On dit que la radio est très "percée" quand elle est foncée (beaucoup de rayons traversent).
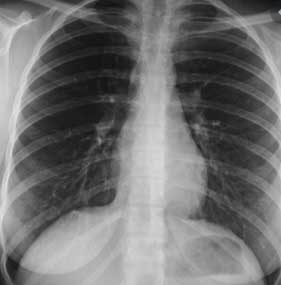
Pour s'y retrouver dans la radio, il faut savoir qu'il y a différents contrastes naturels :
air < graisse < eau < os < métaux (prothèse, plombages)
Pour faire simple, l'air, dans les poumons ou les intestins par exemple, va apparaitre très noir, et les métaux très blancs. (voir sur la photo).
(oui certaines personnes trouvent ça bien d'introduire des objets dans leur corps... pas de commentaire)
Lorsqu'un manipulateur radio ou un radiologue effectue une radio, il est très conseillé, voire obligé de porter un équipement de protection. Car à long terme et à forte dose, les rayons X peuvent induire des mutations dans l'ADN et être potentiellement cancérigènes.
Pour de nombreux examens, les doses reçues et mesurées sont équivalentes aux rayonnement naturels auxquels toute personne peut être exposée lors d'un voyage en avion, ou d'une promenade en montagne.
Si dessous, une radiologie personnelle d'un genou. pour vous aider à mieux vous y retrouver j'ai indiqué les différents os visibles.
La radiologie est une technique d'imagerie de "base" mais elle est irradiante. Il faut donc minimiser un maximum ces rayons X, surtout chez les enfants et les femmes enceintes.
Il existe bien sûr d'autres techniques d'imageries qui ne sont pas irradiantes comme l'échographie ou la résonance magnétique. Je détaillerais ces différentes techniques plus tard ...
Pour les plus curieux :
https://www.universalis.fr/encyclopedie/wilhelm-conrad-rontgen/
https://www.im2p.fr/examen-principe-de-la-radiographie,26.html
http://wdw2-33.blogspot.com/p/elementsnde-semiologie-radiologique.html
(image1)
(image2)
https://fr.wikipedia.org/wiki/Radiographie
(image3) https://ressourcessante.salutbonjour.ca/procedure/getprocedure/radiographie
(image4)
https://www.medisite.fr/insolite-radio-9-objets-insolites-decouverts-par-les-medecins.688979.103.html?page=9
https://l2bichat2017-2018.weebly.com/uploads/1/1/2/5/112587633/p2_ue2_cours6_imagerie_par_rayons_x_ronéo.pdf
Kiss
D.






Join the community in our migration to Hive, a community built blockchain for the community. All Steem account holders will receive equivalent stake on the new Hive blockchain.
Please follow @innerhive on twitter for more information.
This post has been voted on by the SteemSTEM curation team and voting trail. It is elligible for support from @curie and @minnowbooster.
If you appreciate the work we are doing, then consider supporting our witness @stem.witness. Additional witness support to the curie witness would be appreciated as well.
For additional information please join us on the SteemSTEM discord and to get to know the rest of the community!
Thanks for having used the steemstem.io app. This granted you a stronger support from SteemSTEM. Note that including @steemstem in the list of beneficiaries of this post could have yielded an even more important support.