PARASITOLOGÍA|Giardia duodenalis, un patógeno intestinal y sus consecuencias (parte 2)

Apreciados amigos de Steemit! Seguimos por acá exponiendo interesantes temas, reconozco la labor de @Steemstem @Stem-espanol y @Utopian-io quienes apoyan los contenidos nuevos y de interés científico.
En esta ocasión les traigo la segunda parte *Giardia duodenalis* (Sin. *Giardia lamblia*) un microorganismo intestinal cuya morfología es extraña pero interesante, que puede tener consecuencias considerables si no se toman las medidas necesarias.
Te invito a leer la primera parte Haz Clic aquí para acceder
Micrografía electrónica de barrido muestra detalles ultraestructurales externos de Giardia duodenalis
Una vez leída la primera parte, comenzamos:
Mecanismo de Acción
Existen diversos factores involucrados en el desarrollo de la enfermedad. La acción mecánica se genera por acción del disco suctor que le permite adherirse al epitelio -capa más externa y expuesta a la luz intestinal- al adherirse, el parasito pone en contacto con la pared intestinal del huésped las proteínas antigénicas conocidas como VSP (proteínas variantes de superficie) que desencadena un infiltrado linfocitario a la zona. En consecuencia, se produce un defecto o alteración histoquímica, provocando el engrosamiento, atrofia y/o acortamiento de las microvellosidades, incremento de la permeabilidad celular.
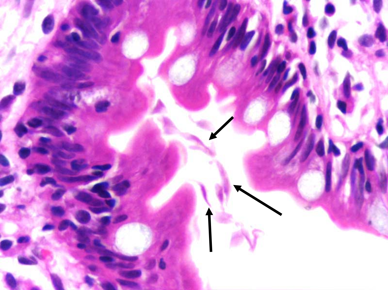
Biopsia de la mucosa del intestino delgado (duodeno) con giardiasis. Tinción H/E
El infiltrado linfocitario, el daño histoquímico, más un sobrecrecimiento bacteriano y perdida de actividad de enzimas digestivas, se traduce en una absorción deficiente de nutrientes.
Esta enfermedad tiene una alta prevalencia en la población infantil causando diarrea, mal nutrición, pérdida de peso, déficit de crecimiento, otros.
(html comment removed: [endif])
Repercusión intestinal
Estudios demuestran que la infección por *Giardia duodenalis* es capaz de disminuir la absorción no solo de metales como el zinc sino también de monosacáridos, aminoácidos esenciales para el neonato y lípidos, ya que forman parte de la dieta nutritiva de este parasito.
Además de esto, como se produce una alteración progresiva de la mucosa, de no ser tratada la enfermedad a tiempo, el epitelio intestinal comienza a dañare y pierde su capacidad de absorción, lo cual de traduce en mala absorción de todos los nutrientes esenciales como proteínas, vitaminas y ácidos grasos, como también una baja absorción de vitamina A, K y la B12 esencial para la producción de hemoglobina, lo que se manifiesta en anemia megaloblastica.
Por otra parte, Giardia duodenalis disminuye la conjugación de las sales biliares, lo que dificulta la absorción de los ácidos grados a nivel intestinal.
Manifestaciones clínicas
1) La mayoría de estas infecciones tienden a ser asintomáticas, las personas son portadoras, pero no se evidencias síntomas. El porcentaje varía dependiendo de la condición socioeconómica y el área geográfica de la población afectada. Tiende a resolverse de manera espontánea.
2) En el caso de presentar síntomas puede darse de las siguientes formas:
- Fase Aguda: Cursa con diarreas acuosas explosivas, presencia de moco sin sangre y fétidas. Hay presencia de dolor en el epigastrio y es postpandrial, flatulencias, anorexia, y otros síntomas que no específicos como mialgias, artralgias, cefaleas, otros. Tiende a resolverse de manera espontánea después de algunas semanas.
- Fase Crónica: Diarrea con 4-5 deposiciones por día, tienden a ser pastosas, fétida con restos de alimentos. Se presenta anorexia, pérdida de peso, dolor abdominal, palidez, desnutrición, otros síntomas no específicos.
Diagnóstico diferencial
Deben tomarse en cuenta otras enfermedades que causan manifestaciones clínicas similares como Rotavirus, Adenovirus, Campylobacter, E. histolytica, Cryptosporidium, Escherichia coli enteropatógena, Strongyloides stercoralis, enfermedad celiaca, úlcera duodenal.
Diagnóstico
1.- Orientación clínica epidemiológica: de debe preguntar al paciente sobre viajes recientes, tipo de manifestación clínica, aspecto de las heces, así como cualquier dado importante que oriente al médico sobre el diagnostico de una Giardiasis, pero no es factible ser precisos sin la aplicación de los métodos directos.
2.- Métodos directos (parasitológicos): Como existen períodos de alta y baja expresión por el carácter intermitente, si hay sospecha de giardiasis, es recomendable el examen seriado de hasta seis muestras en días diferentes para aumentar la sensibilidad a un 90%. En este caso el olor de las heces es fétido y pueden tener restos de alimentos por la mala absorción que existe.
2.1.- Examen directo con: Solución Salina (SS) y Lugol
En estos casos se pueden obtener dos tipos de muestras: heces acuosas y solidad.
- Para heces acuosas, se busca principalmente trofozoitos.
(html comment removed: [if mso & !supportInlineShapes & supportFields]> SHAPE \* MERGEFORMAT <![endif])(html comment removed: [if gte vml 1]> <![endif])(html comment removed: [if mso & !supportInlineShapes & supportFields]> <![endif])
Trofozoito de *Giardia duodenalis*
- Para heces sólidas, se buscan principalmente quistes.
Quiste de *Giardia duodenalis*
Fuente
(html comment removed: [if !supportLineBreakNewLine])
(html comment removed: [endif])
En ambos casos se coloca una gota de solución salina y otra de Lugol en una misma lamina, se abre el recolector de heces y con un aplicador de madera o plástico, se toma una pequeña porción y se mezcla con ambos líquidos, se coloca una laminilla sobre las preparaciones y está listo para observar al microscopio, se deben observar quistes o trofozoitos.
En preparaciones permanentes teñidos por Hematoxilina férrica y tricrómico de Gomori, o por Giemsa, se observan mejor las características morfológicas de los trofozoítos.
(html comment removed: [if !supportLineBreakNewLine])![]()
(html comment removed: [endif])
Fuente
(html comment removed: [if !supportLineBreakNewLine])
(html comment removed: [endif])
2.2.- También se puede realizar Faust de alta densidad para conseguir quistes cuando no hay presencia de síntomas (carga parasitaria baja) ya que tiene una sensibilidad de 70% en comparación al examen directo de una sola muestra.
4.- Detección de antígenos del parásito en heces
Prevención
- Conocer el modo de transmisión fecal-oral.
- Hervir y filtrar el agua cuando no son tratadas previamente. Giardia puede resistir a muchos químicos por lo que se recomiendan procesos de filtración eficiente y no solo cloración.
- En el caso de las mascotas como perros y gatos, existen antiparasitarios de Giardia evitando entonces la transmisión a los más pequeños de la casa.
![]()
(html comment removed: [endif])
HASTA AQUÍ ESTE NUEVO APORTE, ESPERO LES HAYA GUSTADO.
PUEDES DEJAR TUS COMENTARIOS, DUDAS O SUGERENCIAS.


Fuentes:
1. http://www.scielo.org.bo/scielo.php?script=sci_arttext&pid=S1024-06752005000300007
2. https://seimc.org/contenidos/ccs/revisionestematicas/parasitologia/Giardia.pdf
3. http://catarina.udlap.mx/u_dl_a/tales/documentos/lqf/hinojosa_s_le/capitulo8.pdf
4. http://www.facmed.unam.mx/deptos/microbiologia/parasitologia/giardiasis.html
Te invito a unirte a la comunidad @stem-espanol donde toman en cuenta todas las publicaciones científicas si cumples con las normas. Se original, no incurras en plagio. Ingresa a Haz click Aqui para conocer sobre esta gran comunidad, igualmente Haz click Aqui para conocer las normas sobre el derecho de autor.
Además, se están retomando los conversatorios en la comunidad por el canal de Discord ven y participa junto a nosotros: https://discord.gg/d3TjvS
Recuerda usar las etiquetas #stem-espanol y #steemstem.
Creditos: @elvigia





¡Felicitaciones!
Estás participando para optar a la mención especial que se efectuará el domingo 28 de julio del 2019 a las 8:00 pm (hora de Venezuela), gracias a la cual el autor del artículo seleccionado recibirá la cantidad de 1 STEEM transferida a su cuenta.
¡También has recibido 1 ENTROKEN! El token del PROYECTO ENTROPÍA impulsado por la plataforma Steem-Engine.
Te participamos que puedes invertir en el PROYECTO ENTROPÍA mediante tu delegación de Steem Power y así comenzar a recibir ganancias de forma semanal transferidas automáticamente a tu monedero todos los lunes. Entra aquí para más información sobre cómo invertir en ENTROPÍA.
Contáctanos en Discord.
Apoya al trail de @Entropia y así podrás ganar recompensas de curación de forma automática. Entra aquí para más información sobre nuestro trail.
Puedes consultar el reporte diario de curación visitando @entropia.
Atentamente
El equipo de curación del PROYECTO ENTROPÍA
Congratulations @fran.frey! You have completed the following achievement on the Steem blockchain and have been rewarded with new badge(s) :
You can view your badges on your Steem Board and compare to others on the Steem Ranking
If you no longer want to receive notifications, reply to this comment with the word
STOPVote for @Steemitboard as a witness to get one more award and increased upvotes!
Hi @fran.frey!
Your post was upvoted by Utopian.io in cooperation with @steemstem - supporting knowledge, innovation and technological advancement on the Steem Blockchain.
Contribute to Open Source with utopian.io
Learn how to contribute on our website and join the new open source economy.
Want to chat? Join the Utopian Community on Discord https://discord.gg/h52nFrV