Babies can recover language skills after a left-side stroke
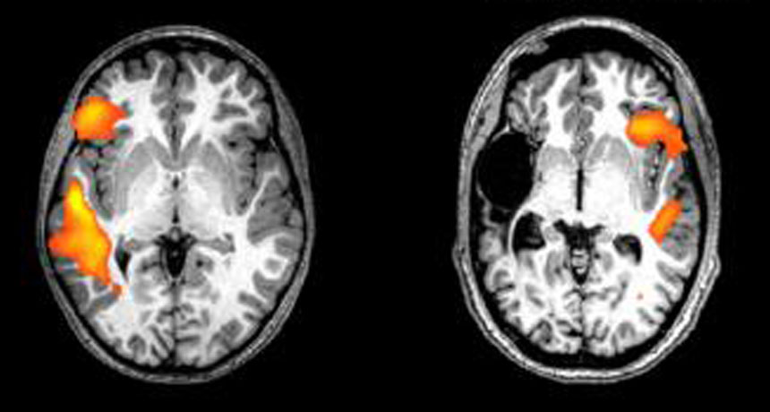
SWITCHING SIDES These fMRI scans show the brain activity of a healthy person (left) and a stroke patient (right) while doing a language-related task. Having a stroke just before or after being born flips key language-processing areas from the left to the right side of the brain, a new study shows.
E. NEWPORT
EmailPrintTwitterFacebookRedditGoogle+
SPONSOR MESSAGE
AUSTIN, Texas — Babies’ stroke-damaged brains can pull a mirror trick to recover.
A stroke on the left side of the brain often damages important language-processing areas. But people who have this stroke just before or after birth recover their language abilities in the mirror image spot on the right side, a study of teens and young adults shows. Those patients all had normal language skills, even though as much as half of their brain had withered away, researchers reported February 17 at the annual meeting of the American Association for the Advancement of Science.
Researchers so far have recruited 12 people ages 12 to 25 who had each experienced a stroke to the same region of their brain’s left hemisphere just before or after birth. People who have this type of stroke as adults often lose their ability to use and understand language, said study coauthor Elissa Newport, a neurology researcher at Georgetown University Medical Center in Washington, D.C.
MRI scans of healthy siblings of the stroke patients showed activity in language centers in the left hemisphere of the brain when the participants heard speech. The stroke patients showed activity in the exact same areas — just on the opposite side of the brain.
It’s well established that if an area of the brain gets damaged, other brain areas will sometimes compensate. But the new finding suggests that while young brains have an extraordinary capacity to recover, there might be limits on which areas can pinch-hit.
“When you look at a very well-defined population, recovery takes place in a very particular set of regions,” said Newport. Young children usually show language activity in the same areas on both sides of their brain, Newport noted, and the left side becomes more dominant over time. But in the case of a major stroke to the left side, the corresponding areas on the right side of the brain might already be primed to take over.

Hi! I am a robot. I just upvoted you! I found similar content that readers might be interested in:
https://www.sciencenews.org/article/babies-language-brain-stroke