Health
Remove dental tartar or dental calculus without a dentist
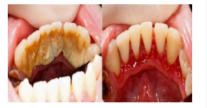
Many teeth have a more or less yellow or brown mineral coating. This is called tartar. We know him as a tooth stone. If not cleaned regularly, this tartar will continue to grow. Which is the cause of dental periodontitis
What is periodontitis?
Periodontitis is an inflammation of the gums. As a result, the gums become compressed and there is a possibility of premature tooth loss.
To avoid this problem, it is necessary to clean the tartar deposited in the teeth regularly. The first solution to remove tartar is a dentist. However, you can solve this problem at home if you want.
All you need to do is clean the tartar
- Baking soda
- Dental pick
- Salt
- Hydrogen peroxide
- Water
- Toothbrush
- Cup
- Antiseptic mouthwash
The most readily available and effective ingredient to remove tartar is baking soda. Let's learn how to get rid of tartar.
The first step
Mix 1/2 teaspoon of salt with one tablespoon of baking soda in a cup. Soak a toothbrush in hot water and brush your teeth with a mixture of baking soda and salt for five minutes. Finally, rinse.
The second step
Mix 1/2 cup of warm water with one cup of hydrogen peroxide. Put this water in the mouth for one minute. Then rinse with 1/2 cup water.
The third step
Gently rub the yellow tartar on the teeth with a dental pick. Use caution when using dental picks to avoid gum damage.
The fourth step
Rinse with an antiseptic mouthwash.
A few more tips for shiny white teeth-
Strawberries and tomatoes
Strawberries and tomatoes are good for teeth as they are rich in vitamin C. Rub the strawberries or tomatoes on the teeth to keep the tartar clean for five minutes.
This will soften the tartar. Rinse with lukewarm water mixed with baking soda. In addition to strawberries or tomatoes, vitamin C-rich capsicum, lemon, papaya, and orange can be used.
Cheese
You can eat cheese before eating. Cheese neutralizes the acid in food which is the main ingredient in making tartar.
Find out-
- Use a soft brush to clean teeth. Brush up and down while brushing teeth. Make sure the area between the gums and the teeth is clean.
- Use dental floss.
- Pepper helps in salivation. Which cleans the face naturally.
- Rub orange peel on teeth before going to bed at night to get rid of bacteria. Brush in the morning
